Promotional price valid on web orders only. Your contract pricing may differ. Interested in signing up for a dedicated account number?
Learn More
Learn More
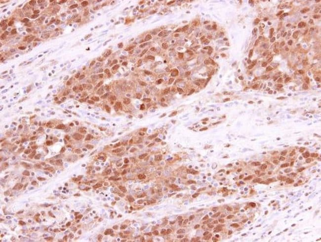
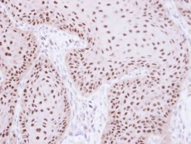
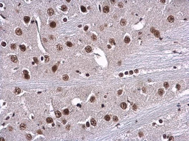
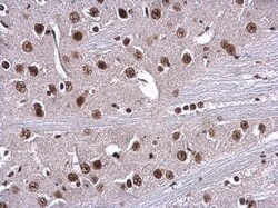
Invitrogen™ RPA70 Polyclonal Antibody

Rabbit Polyclonal Antibody
Supplier: Invitrogen™ PA521976
Description
Recommended positive controls: 293T, A431, HeLa, HepG2, Mouse liver. Predicted reactivity: Mouse (87%), Rat (85%), Sheep (93%), Bovine (93%). Store product as a concentrated solution. Centrifuge briefly prior to opening the vial.
This gene Plays an essential role in several cellular processes in DNA metabolism including replication, recombination and DNA repair. Binds and subsequently stabilizes single-stranded DNA intermediates and thus prevents complementary DNA from reannealing.
Specifications
RPA70 | |
Polyclonal | |
Unconjugated | |
RPA1 | |
5031405K23Rik; 70kDa; AA589576; AW557552; Cb1-727; HSSB; MST075; MSTP075; REPA1; Replication factor A protein 1; replication protein A 70 kDa DNA-binding subunit; Replication protein A 70 kDa DNA-binding subunit, N-terminally processed; replication protein A1; replication protein A1, 70kDa; RF-A; RF-A protein 1; Rpa; RP-A; RP-A p70; RPA1; RPA70; Single-stranded DNA-binding protein | |
Rabbit | |
Antigen affinity chromatography | |
RUO | |
6117, 68275 | |
Store at 4°C short term. For long term storage, store at -20°C, avoiding freeze/thaw cycles. | |
Liquid |
Immunohistochemistry (Paraffin), Immunoprecipitation, Western Blot, Immunocytochemistry | |
0.4 mg/mL | |
PBS with 1% BSA, 20% glycerol and 0.025% ProClin 300; pH 7 | |
P27694, Q8VEE4 | |
RPA1 | |
Recombinant protein encompassing a sequence within the C-terminus region of human RPA70. The exact sequence is proprietary. | |
100 μL | |
Primary | |
Human, Mouse | |
Antibody | |
IgG |
Product Content Correction
Your input is important to us. Please complete this form to provide feedback related to the content on this product.
Product Title
Spot an opportunity for improvement?Share a Content Correction