Learn More
Invitrogen™ RPS3 Recombinant Rabbit Monoclonal Antibody (3D5)

Rabbit Recombinant Monoclonal Antibody
Supplier: Invitrogen™ MA524847
Description
Recombinant rabbit monoclonal antibodies are produced using in vitro expression systems. The expression systems are developed by cloning in the specific antibody DNA sequences from immunoreactive rabbits. Then, individual clones are screened to select the best candidates for production. The advantages of using recombinant rabbit monoclonal antibodies include: better specificity and sensitivity, lot-to-lot consistency, animal origin-free formulations, and broader immunoreactivity to diverse targets due to larger rabbit immune repertoire.
WD repeat domain 5 (WDR5) is a member of the WD repeat protein family, which is involved in a variety of cellular processes, including cell cycle progression, signal transduction, apoptosis, and gene regulation. WDR5, also known as BIG-3, is expressed in the developing growth plate, accelerates chondrocyte and osteoblast differentiation in vitro, and regulates osteoblast differentiation during embryonic bone development. WDR5 interacts with the pluripotency factor Oct4/POU5F1 and is required for the efficient formation of induced pluripotent stem (iPS) cells.
Specifications
| RPS3 | |
| Recombinant Monoclonal | |
| 1 mg/mL | |
| PBS with 50% glycerol and 0.02% sodium azide; pH 7.2 | |
| P23396, P62908, P62909 | |
| RPS3 | |
| Recombinant RPS3. | |
| 100 μL | |
| Primary | |
| Human, Mouse, Rat | |
| Antibody | |
| IgG |
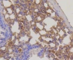
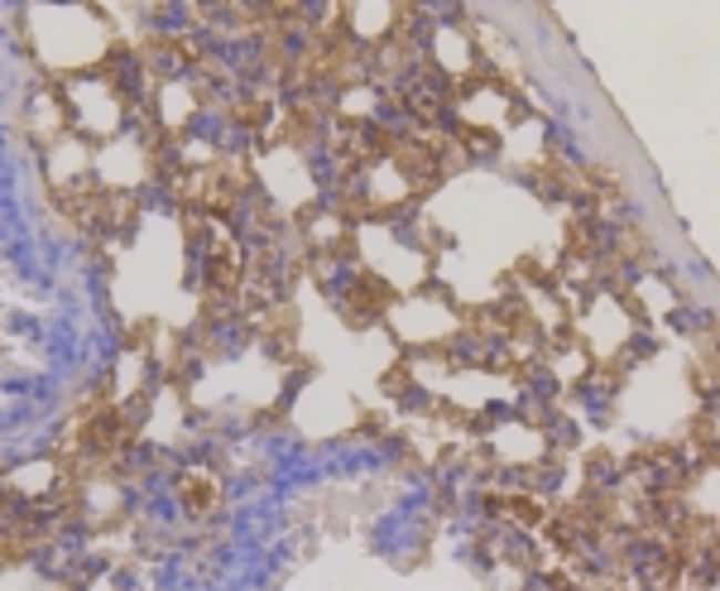
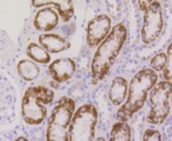
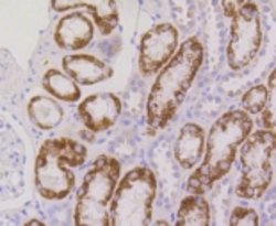
| Immunohistochemistry (Paraffin), Western Blot, Immunocytochemistry | |
| 3D5 | |
| Unconjugated | |
| RPS3 | |
| 40S ribosomal protein S3; D7Ertd795e; FLJ26283; FLJ27450; IMR-90 ribosomal protein S3; MGC87870; OK/SW-cl.26; OTTHUMP00000229804; OTTHUMP00000229805; OTTHUMP00000229874; OTTHUMP00000229877; OTTHUMP00000229878; OTTHUMP00000229879; OTTHUMP00000229880; OTTHUMP00000229882; OTTHUMP00000229883; OTTHUMP00000229886; ribosomal protein S3; Rps3; Rs_3; S3; Small ribosomal subunit protein uS3 | |
| Rabbit | |
| Protein A | |
| RUO | |
| 140654, 27050, 6188 | |
| Store at 4°C short term. For long term storage, store at -20°C, avoiding freeze/thaw cycles. | |
| Liquid |
Your input is important to us. Please complete this form to provide feedback related to the content on this product.