Learn More
Invitrogen™ RPS6KB2 Recombinant Rabbit Monoclonal Antibody (5D8F5)

Description
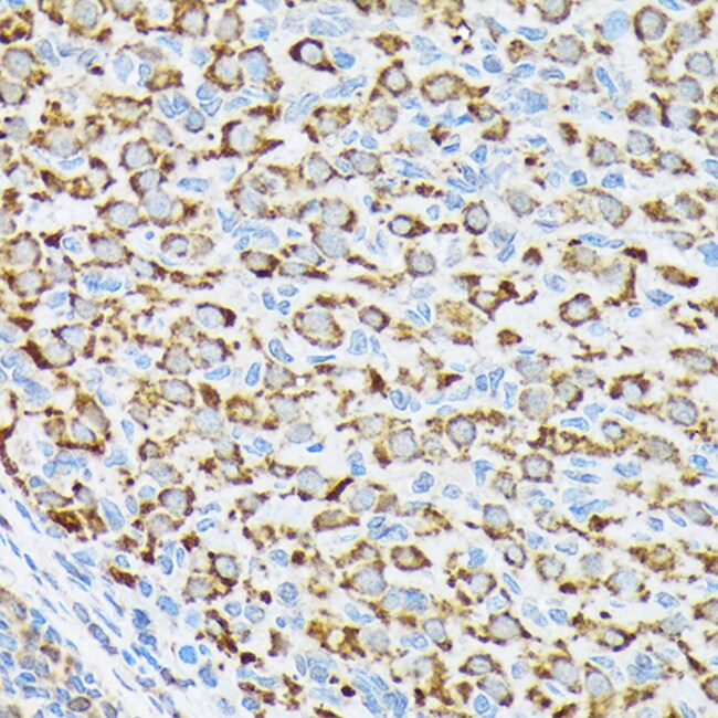
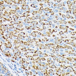
Positive Samples: Mouse brain.
Specifications
Specifications
| Antigen | RPS6KB2 |
| Applications | ELISA, Immunohistochemistry (Paraffin), Western Blot, Immunocytochemistry |
| Classification | Recombinant Monoclonal |
| Clone | 5D8F5 |
| Concentration | 0.7 mg/mL |
| Conjugate | Unconjugated |
| Formulation | PBS with 50% glycerol, 0.05% BSA and 0.02% sodium azide; pH 7.3 |
| Gene | Rps6kb2 |
| Gene Accession No. | Q9UBS0, Q9Z1M4 |
| Gene Alias | 70 kDa ribosomal protein S6 kinase 2; 70kDa; KLS; p70 ribosomal S6 kinase beta; p70 S6 kinase beta; p70 S6KB; p70 S6K-beta; p70(S6K)-beta; P70-beta; P70-beta-1; P70-beta-2; p70-S6K 2; P70S6K2; p70S6Kb; ribosomal protein S6 kinase B2; ribosomal protein S6 kinase beta-2; ribosomal protein S6 kinase, 70kD, polypeptide 2; ribosomal protein S6 kinase, 70kDa, polypeptide 2; ribosomal protein S6 kinase, polypeptide 2; RPS6KB2; S6 kinase 2; S6 kinase-related kinase; S6K2; S6K-beta; S6K-beta2; S6K-beta-2; serine/threonine-protein kinase 14 beta; serine/threonine-protein kinase 14B; SRK; STK14B |
| Show More |
Safety and Handling
By clicking Submit, you acknowledge that you may be contacted by Fisher Scientific in regards to the feedback you have provided in this form. We will not share your information for any other purposes. All contact information provided shall also be maintained in accordance with our Privacy Policy.