Learn More
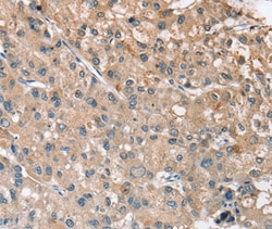
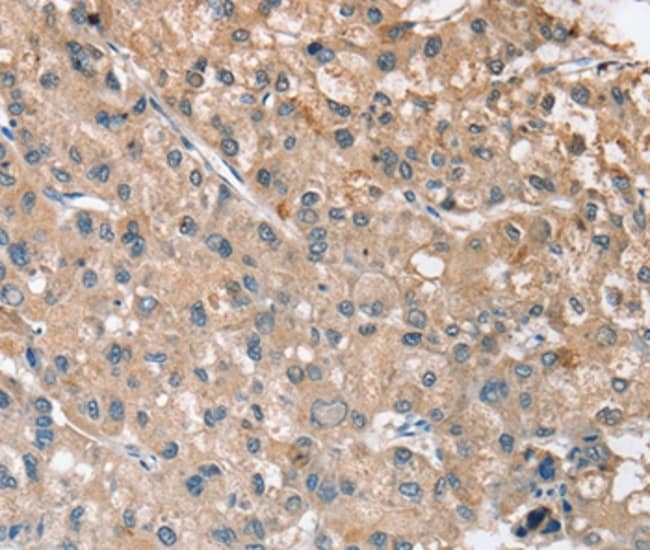
Invitrogen™ RRAS Polyclonal Antibody

Description
The antibody detects endogenous levels of total RRA S protein.
Specifications
Specifications
| Antigen | RRAS |
| Applications | Immunohistochemistry (Paraffin), Western Blot |
| Classification | Polyclonal |
| Concentration | 1.9 mg/mL |
| Conjugate | Unconjugated |
| Formulation | PBS with 40% glycerol and 0.05% sodium azide; pH 7.4 |
| Gene | RRAS |
| Gene Accession No. | D3Z8L7, P10301, P10833 |
| Gene Alias | AI573426; Harvey rat sarcoma oncogene, subgroup R; Harvey rat sarcoma virus oncogene, subgroup R; oncogene RRAS; p23; ras family small GTP binding protein R-Ras; ras-related protein R-Ras; Ras-related protein R-RAS (P23); related RAS viral (r-ras) oncogene homolog; RRAS |
| Gene Symbols | RRAS |
| Show More |
By clicking Submit, you acknowledge that you may be contacted by Fisher Scientific in regards to the feedback you have provided in this form. We will not share your information for any other purposes. All contact information provided shall also be maintained in accordance with our Privacy Policy.