Promotional price valid on web orders only. Your contract pricing may differ. Interested in signing up for a dedicated account number?
Learn More

Rtf1 Rabbit anti-Human, Mouse, Polyclonal, Bethyl Laboratories

Rabbit Polyclonal Antibody

Supplier:  Bethyl Laboratories, Inc A301329A

Encompass_Preferred

Catalog No. 50-156-0104


May include imposed supplier surcharges.
Only null left
Add to Cart

Description

Description

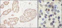
The recommended shelf life for this product is 1 year from date of receipt. Application Note: For IHC, epitope retrieval with citrate buffer pH 6.0 is recommended for FFPE tissue sections.

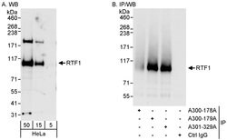
PAF is a five-subunit protein complex composed of Paf1, Cdc73, Leo1, Rtf1 and Ctr9, which was first purified from yeast. The yeast PAF (yPAF) complex interacts with RNA polymerase II and coordinates the setting of histone marks associated with active transcription. The human PAF (hPAF) complex shares four subunits with yPAF (hCtr9, hPaf1, hLeo1 and Cdc73), but contains an additional higher eukaryotic-specific subunit, hSki8. In addition to coordinating events during transcription (initiation, promoter clearance and elongation); PAF also coordinates events in RNA quality control.
Specifications

Specifications

Rtf1
Polyclonal
Unconjugated
RTF1
RNA polymerase-associated protein RTF1 homolog, KIAA0252
Rabbit
Antigen affinity chromatography
RUO
23168, 76246
4° C
Liquid
Immunohistochemistry, Immunoprecipitation, Western Blot
0.2 mg/ml
TBS with 0.1% BSA and 0.09% sodium azide
A2AQ19, Q92541
Rtf1
C-terminus
100 μL
Primary
Human, Mouse
Antibody
IgG
Product Suggestions

Product Suggestions

Videos
SDS
Documents

Documents

Product Certifications
Promotions

Promotions

Product Content Correction

The Fisher Scientific Encompass Program offers items which are not part of our distribution portfolio. These products typically do not have pictures or detailed descriptions. However, we are committed to improving your shopping experience. Please use the form below to provide feedback related to the content on this product.

Product Title

By clicking Submit, you acknowledge that you may be contacted by Fisher Scientific in regards to the feedback you have provided in this form. We will not share your information for any other purposes. All contact information provided shall also be maintained in accordance with our Privacy Policy.

Your feedback has been submitted: Thank you for helping us improve our website.