Learn More
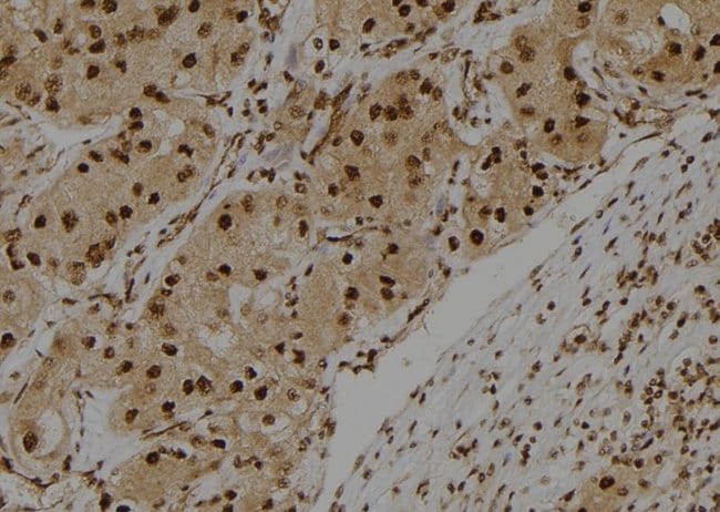
Invitrogen™ S100A3 Polyclonal Antibody

Description
Antibody detects endogenous levels of total S100A3.
Specifications
Specifications
| Antigen | S100A3 |
| Applications | Immunohistochemistry (Paraffin), Western Blot, Immunocytochemistry |
| Classification | Polyclonal |
| Concentration | 1 mg/mL |
| Conjugate | Unconjugated |
| Formulation | PBS with 50% glycerol and 0.02% sodium azide |
| Gene | S100A3 |
| Gene Accession No. | P33764, P62818, P62819 |
| Gene Alias | Protein S100-A3; Protein S-100E; S100 calcium binding protein A3; S100 calcium-binding protein A3; S100A3; S100E |
| Gene Symbols | S100A3 |
| Show More |
By clicking Submit, you acknowledge that you may be contacted by Fisher Scientific in regards to the feedback you have provided in this form. We will not share your information for any other purposes. All contact information provided shall also be maintained in accordance with our Privacy Policy.