Promotional price valid on web orders only. Your contract pricing may differ. Interested in signing up for a dedicated account number?
Learn More
Learn More
Invitrogen™ S100A6 Polyclonal Antibody

Rabbit Polyclonal Antibody
Supplier: Invitrogen™ PA5110731
Description
Immunogen sequence: AIFHKYSGRE GDKHTLSKKE LKELIQKELT IGSKLQDAEI ARLMEDLDRN KDQEVNFQEY VTFLGALALI YNE.
The protein encoded by this gene is a member of the S100 family of proteins containing 2 EF-hand calcium-binding motifs. S100 proteins are localized in the cytoplasm and/or nucleus of a wide range of cells, and involved in the regulation of a number of cellular processes such as cell cycle progression and differentiation. S100 genes include at least 13 members which are located as a cluster on chromosome 1q21. This protein may function in stimulation of Ca2+-dependent insulin release, stimulation of prolactin secretion, and exocytosis. Chromosomal rearrangements and altered expression of this gene have been implicated in melanoma.
Specifications
| S100A6 | |
| Polyclonal | |
| PBS with 40% glycerol and 0.02% sodium azide; pH 7.2 | |
| P05964, P06703, P14069 | |
| S100A6 | |
| Recombinant Protein corresonding to Human S100A6. Recombinant protein control fragment (Product #RP-89189). | |
| 100 μL | |
| Primary | |
| Human, Mouse, Rat | |
| Antibody | |
| IgG |
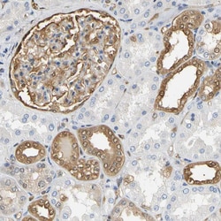
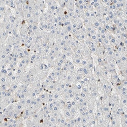
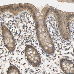
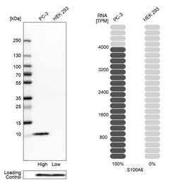
| Immunohistochemistry (Paraffin), Western Blot, Immunocytochemistry | |
| Unconjugated | |
| S100A6 | |
| 2A9; 5B10; CABP; Cacy; calcium binding protein A6 (calcyclin); calcyclin; Growth factor-inducible protein 2A9; lung 10 kDa protein; MLN 4; PRA; Prolactin receptor-associated protein; protein S100-A6; S100 calcium binding protein A6; S100 calcium binding protein A6 (calcyclin); S100 calcium-binding protein A6; S100 calcium-binding protein A6 (calcyclin); S100a6 | |
| Rabbit | |
| Antigen affinity chromatography | |
| RUO | |
| 20200, 6277, 85247 | |
| Store at 4°C short term. For long term storage, store at -20°C, avoiding freeze/thaw cycles. | |
| Liquid |
Product Content Correction
Your input is important to us. Please complete this form to provide feedback related to the content on this product.
Product Title
Spot an opportunity for improvement?Share a Content Correction