Promotional price valid on web orders only. Your contract pricing may differ. Interested in signing up for a dedicated account number?
Learn More

SAFB1 Rabbit anti-Human, Mouse, Polyclonal, Bethyl Laboratories

Catalog No. 501558509
Encompass_Preferred
Change view
Click to view available options
Quantity:
100 μL
1 product options available for selection
Product selection table with 1 available options. Use arrow keys to navigate and Enter or Space to select.
Catalog No. Quantity
50-155-8509 100 μL
Use arrow keys to navigate between rows. Press Enter or Space to select a product option. 1 options available.
1 options
Catalog No. 50-155-8509 Supplier Bethyl Laboratories, Inc Supplier No. A300812A
Only null left
Add to Cart
Add to Cart

Rabbit Polyclonal Antibody

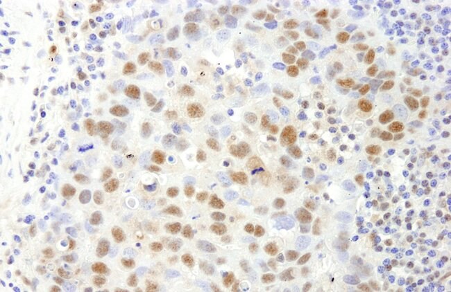
The recommended shelf life for this product is 1 year from date of receipt. Application Note: For IHC, epitope retrieval with citrate buffer pH 6.0 is recommended for FFPE tissue sections. Based on 100% sequence identity, this antibody is predicted to react with Orangutan

This gene encodes a DNA-binding protein that has high specificity for scaffold or matrix attachment region DNA elements (S/MAR DNA). This protein is thought to be involved in attaching the base of chromatin loops to the nuclear matrix but there is conflicting evidence as to whether this protein is a component of chromatin or a nuclear matrix protein. Scaffold attachment factors are a specific subset of nuclear matrix proteins (NMP) that specifically bind to S/MAR. This encoded protein is thought to serve as a molecular base to assemble a ′transcriptosome complex′ in the vicinity of actively transcribed genes. It is involved in the regulation of the heat shock protein 27 transcription and also can act as an estrogen receptor corepressor. This gene is a candidate gene for breast tumorigenesis.

Specifications

Antigen SAFB1
Applications Immunohistochemistry, Immunoprecipitation, Western Blot
Classification Polyclonal
Concentration 0.2 mg/ml
Conjugate Unconjugated
Formulation TBS with 0.1% BSA and 0.09% sodium azide
Gene SAFB
Gene Accession No. D3YXK2, Q15424
Gene Alias DKFZp779C1727, HAP, HET, SAFB1
Gene Symbols SAFB
Host Species Rabbit
Immunogen Between 875 and C-term
Purification Method Antigen affinity chromatography
Quantity 100 μL
Regulatory Status RUO
Primary or Secondary Primary
Gene ID (Entrez) 224903, 6294
Target Species Human, Mouse
Content And Storage 4° C
Product Type Antibody
Form Liquid
Isotype IgG
Show More Show Less
Product Title
Select an issue

By clicking Submit, you acknowledge that you may be contacted by Fisher Scientific in regards to the feedback you have provided in this form. We will not share your information for any other purposes. All contact information provided shall also be maintained in accordance with our Privacy Policy.