Promotional price valid on web orders only. Your contract pricing may differ. Interested in signing up for a dedicated account number?
Learn More
Learn More
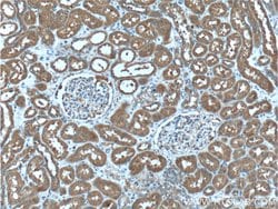
SDCCAG8 Mouse anti-Human, Clone: 2H1A4, Proteintech

Mouse Monoclonal Antibody
Supplier: Proteintech Group Inc 662841IG150UL
Description
SDCCAG8 (serologically defined colon cancer antigen 8), also known as CCCAP (centrosomal colon cancer autoantigen protein), HSPC085 or NY-CO-8, is a 713 amino acid cytoplasmic protein that is expressed in thymus, prostate, testis, ovary, small intestine, colon, mucosa and renal cancer tumors. Existing as a homodimer, SDCCAG8 localizes to centrioles and interacts with oral-facial-digital syndrome 1 (ODF1), which is associated with nephronophthisis-related ciliopathies (NPHP-RC), a recessive disorder that is characterized by dysplasia or degeneration of the kidney, retina and cerebellum. SDCCAG8 exists as four alternatively spliced isoforms and is encoded by a gene located on humanc chromosome 1, which spans 260 million base pairs, contains over 3,000 genes and comprises nearly 8% of the human genome.Specifications
| SDCCAG8 | |
| Monoclonal | |
| 1.91 mg/mL | |
| PBS with 50% glycerol and 0.02% sodium azide; pH 7.3 | |
| Q86SQ7 | |
| SDCCAG8 | |
| SDCCAG8 Fusion Protein Ag4264 | |
| 150 μL | |
| Primary | |
| Human | |
| Antibody | |
| IgG2b |
| Immunohistochemistry (Paraffin), Western Blot | |
| 2H1A4 | |
| Unconjugated | |
| SDCCAG8 | |
| Antigen NY CO 8, BBS16, CCCAP, hCCCAP, HSPC085, NY CO 8, SDCCAG8 | |
| Mouse | |
| Protein A | |
| RUO | |
| 10806 | |
| -20°C | |
| Liquid |
Product Content Correction
The Fisher Scientific Encompass Program offers items which are not part of our distribution portfolio. These products typically do not have pictures or detailed descriptions. However, we are committed to improving your shopping experience. Please use the form below to provide feedback related to the content on this product.
Product Title
Spot an opportunity for improvement?Share a Content Correction