Promotional price valid on web orders only. Your contract pricing may differ. Interested in signing up for a dedicated account number?
Learn More
Learn More
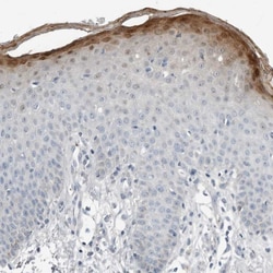
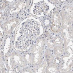
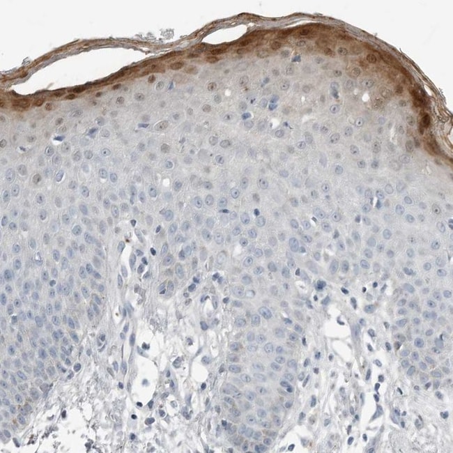
Invitrogen™ SERPINB7 Polyclonal Antibody

Rabbit Polyclonal Antibody
Supplier: Invitrogen™ PA555011
Description
Immunogen sequence: KAVAMMHQER KFNLSVIEDP SMKILELRYN GGINMYVLLP ENDLSEIENK LTFQNLMEWT NPRRMTSKYV EVFFPQFKIE KNYEMKQYLR ALGLKDIFDE SKADLSGIAS GGRLYISRMM HKSYIEVTEE GT Highest antigen sequence identity to the following orthologs: Mouse - 72%, Rat - 72%.
Megsin, also designated SerpinB7 and TP55, is a 380 amino acid cytoplasmic protein that is predominantly expressed in mesangial cells, which play an important role in maintaining glomerular structure and function. As a member of the serpin family, megsin is a serine protesase inhibitor which potentially inactivate MMP-2, MMP-9 and plasmin, proteins that are notably responsible for degradation of extracellular matrix. Overexpression of megsin results in an increase in number of mesangial cells and therefore a progressive mesangial matrix expansion, which is accompanied by immune complex deposition. This finding suggests that megsin significantly influences the role of mesangial cells in renal structure and is likely implicated in a variety of nephropathies.
Specifications
| SERPINB7 | |
| Polyclonal | |
| Unconjugated | |
| SERPINB7 | |
| 4631416M05Rik; MEGSIN; mesangium predominant gene, megsin; ovalbumin; PPKN; serine (or cysteine) peptidase inhibitor, clade B, member 7; serine (or cysteine) proteinase inhibitor, clade B (ovalbumin), member 7; serine (or cysteine) proteinase inhibitor, clade B, member 7; serpin B7; serpin family B member 7; serpin peptidase inhibitor, clade B (ovalbumin), member 7; SERPINB7; Serpin-B7; TP55 | |
| Rabbit | |
| Antigen affinity chromatography | |
| RUO | |
| 8710 | |
| Store at 4°C short term. For long term storage, store at -20°C, avoiding freeze/thaw cycles. | |
| Liquid |
| Immunohistochemistry (Paraffin) | |
| 0.3 mg/mL | |
| PBS with 40% glycerol and 0.02% sodium azide; pH 7.2 | |
| O75635 | |
| SERPINB7 | |
| Recombinant protein corresponding to Human SERPINB7. Recombinant protein control fragment (Product #RP-101064). | |
| 100 μL | |
| Primary | |
| Human | |
| Antibody | |
| IgG |
Safety and Handling
WARNING: Cancer - www.P65Warnings.ca.gov
Product Content Correction
Your input is important to us. Please complete this form to provide feedback related to the content on this product.
Product Title
Spot an opportunity for improvement?Share a Content Correction