Learn More
Invitrogen™ SF1 Polyclonal Antibody

Description
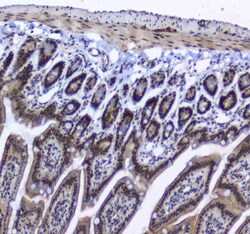
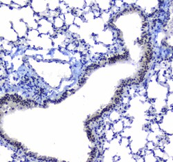
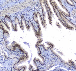
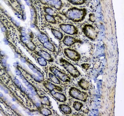
Reconstitute with 0.2 mL of distilled water to yield a concentration of 500 μg/mL. Positive Control - WB: human SK-OV-3 whole cell, human HepG2 whole cell, mouse NIH/3T3 whole cell, rat PC-12 whole cell, mouse RAW2647 whole cell. IHC: mouse lung tissue, rat lung tissue, human placenta tissue, human rectal cancer tissue, mouse small intestine tissue, rat small intestine tissue. ICC/IF: A431 cell. Flow: A431 cell.
Specifications
Specifications
| Antigen | SF1 |
| Applications | ELISA, Flow Cytometry, Immunohistochemistry (Paraffin), Western Blot, Immunocytochemistry |
| Classification | Polyclonal |
| Concentration | 500 μg/mL |
| Conjugate | Unconjugated |
| Formulation | PBS with 4mg trehalose and 0.05mg sodium azide |
| Gene | SF1 |
| Gene Accession No. | Q15637, Q64213 |
| Gene Alias | BBP; D11S636; M ZFM1; Mammalian branch point-binding protein; MBBP; MZFM; SF; SF1; Splicing factor 1; transcription factor ZFM1; WBP4; wu:fc09f06; ZCCHC25; ZFM1; Zfp162; Zinc finger gene in MEN1 locus; zinc finger protein 162; ZNF162 |
| Gene Symbols | SF1 |
| Show More |
By clicking Submit, you acknowledge that you may be contacted by Fisher Scientific in regards to the feedback you have provided in this form. We will not share your information for any other purposes. All contact information provided shall also be maintained in accordance with our Privacy Policy.