Learn More
Invitrogen™ SGLT1 Polyclonal Antibody

Description
Immunogen sequence: DLDAEEENIQ EGPKETIEIE TQVPEKKKGI FRRAYDLFCG LEQHGAPKMT EEEEKAMKMK MTDTSEKPLW R Highest antigen sequence indentity to the following orthologs: Rat - 71%, Mouse - 76%.
Specifications
Specifications
| Antigen | SGLT1 |
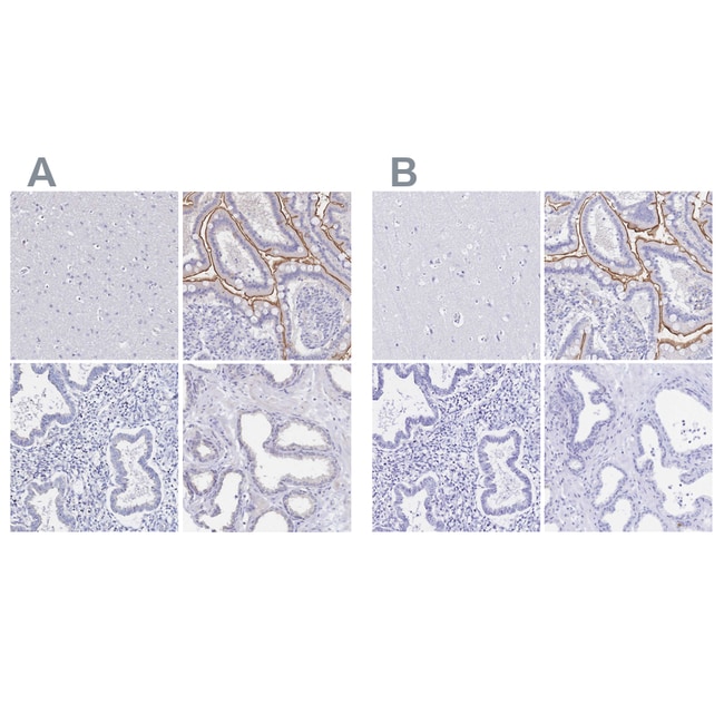
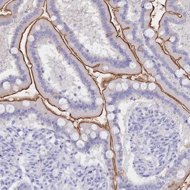
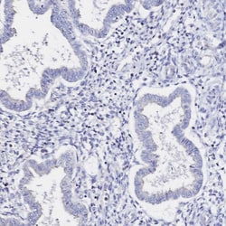
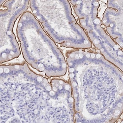
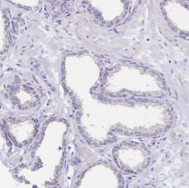
| Applications | Immunohistochemistry (Paraffin), Western Blot |
| Classification | Polyclonal |
| Concentration | 0.05 mg/mL |
| Conjugate | Unconjugated |
| Formulation | PBS with 40% glycerol and 0.02% sodium azide; pH 7.2 |
| Gene | Slc5a1 |
| Gene Accession No. | P13866 |
| Gene Alias | D22S675; High affinity sodium-glucose cotransporter; HSGLT1; MGC93553; Na; Na(+)/glucose cotransporter 1; Na+/glucose cotransporter 1; NAGT; Sglt1; SLC5A1; sodium glucose cotransporter 1; sodium/glucose cotransporter 1; sodium-glucose cotransporter 1; sodium-glucose cotransporter-like 1; solute carrier family 5 (sodium/glucose cotransporter), member 1; solute carrier family 5 member 1; solute carrier family 5, member 1; solute carrier family 5, member alpha 1; Solute carrier family 5, member alpha 1 (Na+/glucose cotransporter) |
| Gene Symbols | Slc5a1 |
| Show More |
By clicking Submit, you acknowledge that you may be contacted by Fisher Scientific in regards to the feedback you have provided in this form. We will not share your information for any other purposes. All contact information provided shall also be maintained in accordance with our Privacy Policy.