Promotional price valid on web orders only. Your contract pricing may differ. Interested in signing up for a dedicated account number?
Learn More
Learn More
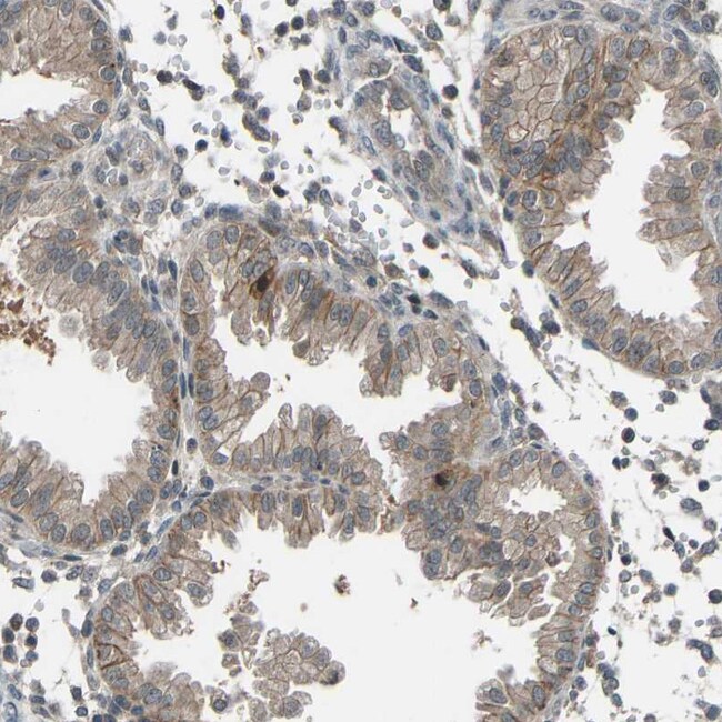
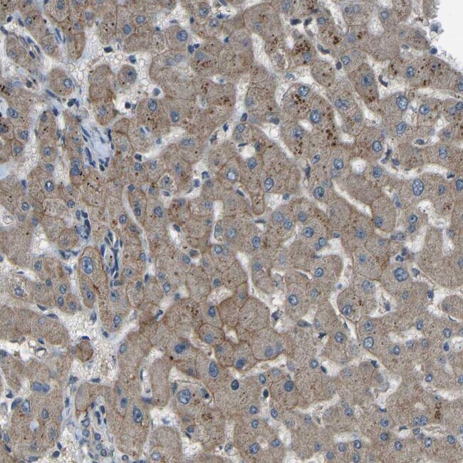
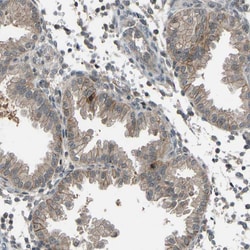
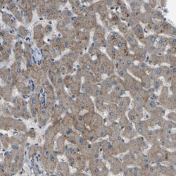
Invitrogen™ SLC43A1 Polyclonal Antibody

Rabbit Polyclonal Antibody
Supplier: Invitrogen™ PA553851
Description
Immunogen sequence: MDWRIKDCVD APTQGTVLGD ARDGVATKSI RPRYCKIQ Highest antigen sequence identity to the following orthologs: Mouse - 67%, Rat - 65%.
SLC43A1 belongs to the system L family of plasma membrane carrier proteins that transports large neutral amino acids. SLC43A1 belongs to the system L family of plasma membrane carrier proteins that transports large neutral amino acids.
Specifications
| SLC43A1 | |
| Polyclonal | |
| Unconjugated | |
| SLC43A1 | |
| 2610016F07Rik; AA986141; large neutral amino acids transporter small subunit 3; LAT3; L-type amino acid transporter 3; PB39; POV1; prostate cancer overexpressed gene 1; prostate cancer overexpressed gene 1 protein; R00504; Slc43a1; solute carrier family 43 (amino acid system L transporter), member 1; solute carrier family 43 member 1; solute carrier family 43, member 1 | |
| Rabbit | |
| Antigen affinity chromatography | |
| RUO | |
| 8501 | |
| Store at 4°C short term. For long term storage, store at -20°C, avoiding freeze/thaw cycles. | |
| Liquid |
| Immunohistochemistry (Paraffin), Western Blot | |
| 0.3 mg/mL | |
| PBS with 40% glycerol and 0.02% sodium azide; pH 7.2 | |
| O75387 | |
| SLC43A1 | |
| Recombinant protein corresponding to Human SLC43A1. Recombinant protein control fragment (Product #RP-92524). | |
| 100 μL | |
| Primary | |
| Human | |
| Antibody | |
| IgG |
Safety and Handling
WARNING: Cancer - www.P65Warnings.ca.gov
Product Content Correction
Your input is important to us. Please complete this form to provide feedback related to the content on this product.
Product Title
Spot an opportunity for improvement?Share a Content Correction