Promotional price valid on web orders only. Your contract pricing may differ. Interested in signing up for a dedicated account number?
Learn More
Learn More
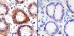
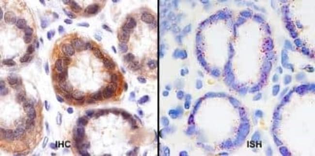
Invitrogen™ SLC7A11 Polyclonal Antibody

Rabbit Polyclonal Antibody
Supplier: Invitrogen™ PA116893
Description
This antibody is not recommended for Immunoprecipitation. Permeablization is recommended prior to performing Flow analysis. Suggested positive control: antigen standard for SLC7A11 (transient overexpression lysate), human stomach protein or stomach tissue lysate.
SLC7A11 (also known as XCT) is a member of a hetromeric, sodium-independent, anionic amino acid transport system. It is highly specific for cysteine and glutamate. SLC7A11 is a mediator of Kaposi sarcoma-associated herpes virus fusion and entry into cells. Increased expression of this protein in primary gliomas is associated with neuronal cell death.
Specifications
| SLC7A11 | |
| Polyclonal | |
| Unconjugated | |
| SLC7A11 | |
| 9930009M05Rik; AI451155; Amino acid transport system xc-; calcium channel blocker resistance protein CCBR1; CCBR1; cysteine/glutamate transporter; cystine/glutamate transporter; SLC7A11; sodium independent anionic amino acid transport system; solute carrier family 7 (anionic amino acid transporter light chain, xc- system), member 11; solute carrier family 7 (cationic amino acid transporter, y+ system), member 11; solute carrier family 7 member 11; solute carrier family 7, (cationic amino acid transporter, y+ system) member 11; sut; xCT | |
| Rabbit | |
| Antigen affinity chromatography | |
| RUO | |
| 23657, 26570, 310392 | |
| Store at 4°C short term. For long term storage, store at -20°C, avoiding freeze/thaw cycles. | |
| Liquid |
| Flow Cytometry, Immunohistochemistry (Paraffin), In Situ Hybridization (ISH), Western Blot, Immunocytochemistry | |
| 1 mg/mL | |
| PBS with 0.02% sodium azide | |
| Q9UPY5, Q9WTR6 | |
| SLC7A11 | |
| Synthetic peptide made to an N-terminal region of the human xCT protein (between residues 1-50). | |
| 100 μL | |
| Primary | |
| Human, Mouse, Rat | |
| Antibody | |
| IgG |
Safety and Handling
WARNING: Cancer - www.P65Warnings.ca.gov
Product Content Correction
Your input is important to us. Please complete this form to provide feedback related to the content on this product.
Product Title
Spot an opportunity for improvement?Share a Content Correction