Promotional price valid on web orders only. Your contract pricing may differ. Interested in signing up for a dedicated account number?
Learn More
Learn More
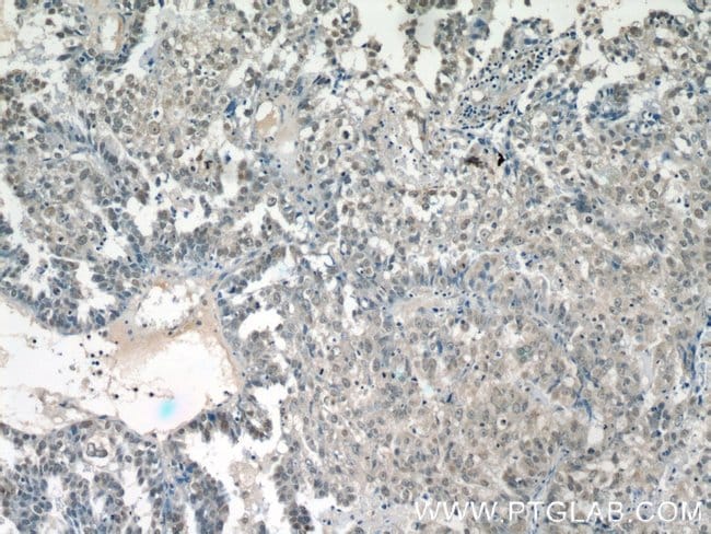
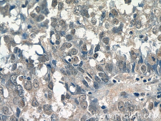
SMARCE1 Mouse anti-Human, Clone: 1F3D6, Proteintech

Mouse Monoclonal Antibody
Supplier: Proteintech Group Inc 661821IG150UL

Description
The protein encoded by this gene is part of the large ATP-dependent chromatin remodeling complex SWI/SNF, which is required for transcriptional activation of genes normally repressed by chromatin. The encoded protein, either alone or when in the SWI/SNF complex, can bind to 4-way junction DNA, which is thought to mimic the topology of DNA as it enters or exits the nucleosome.Specifications
SMARCE1 | |
Monoclonal | |
1.52 mg/mL | |
PBS with 50% glycerol and 0.02% sodium azide; pH 7.3 | |
Q969G3 | |
SMARCE1 | |
SMARCE1 Fusion Protein Ag1161 | |
150 μL | |
Primary | |
Human | |
Antibody | |
IgG1 |
Immunocytochemistry, Immunofluorescence, Immunohistochemistry (Paraffin), Western Blot | |
1F3D6 | |
Unconjugated | |
SMARCE1 | |
BAF57, BRG1 associated factor 57, SMARCE1 | |
Mouse | |
Protein G | |
RUO | |
6605 | |
-20°C | |
Liquid |
Product Content Correction
The Fisher Scientific Encompass Program offers items which are not part of our distribution portfolio. These products typically do not have pictures or detailed descriptions. However, we are committed to improving your shopping experience. Please use the form below to provide feedback related to the content on this product.
Product Title
Spot an opportunity for improvement?Share a Content Correction