Promotional price valid on web orders only. Your contract pricing may differ. Interested in signing up for a dedicated account number?
Learn More
Learn More
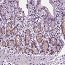
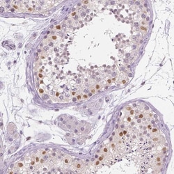
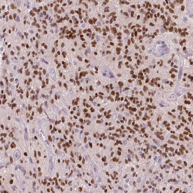
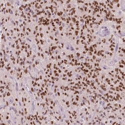
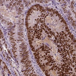
Invitrogen™ SOX9 Polyclonal Antibody

Rabbit Polyclonal Antibody
Supplier: Invitrogen™ PA581966
Description
Immunogen sequence: SQRTHIKTEQ LSPSHYSEQQ QHSPQQIAYS PFNLPHYSPS YPPITRSQYD YTDHQNSSSY YSHAAGQGTG LYSTFTYMNP AQRPMYTPIA DTSGVPSIPQ THSPQHWEQP VYTQLTR.
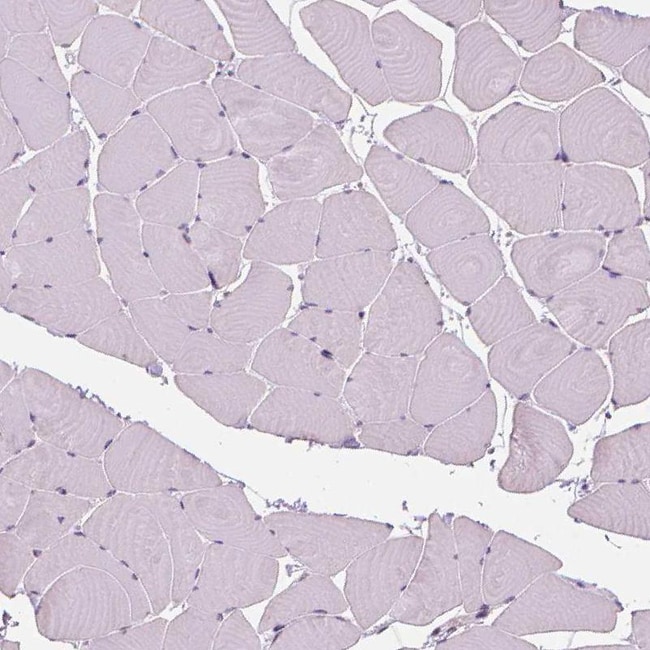
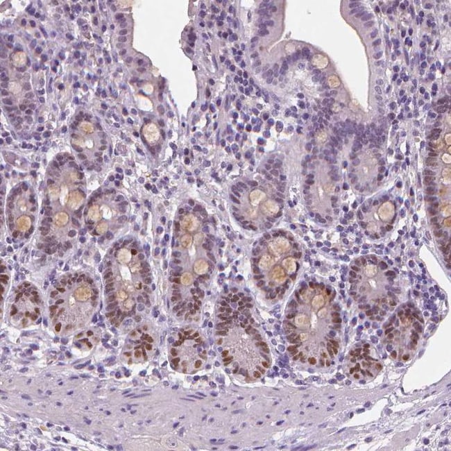
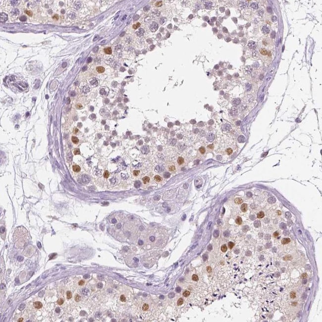
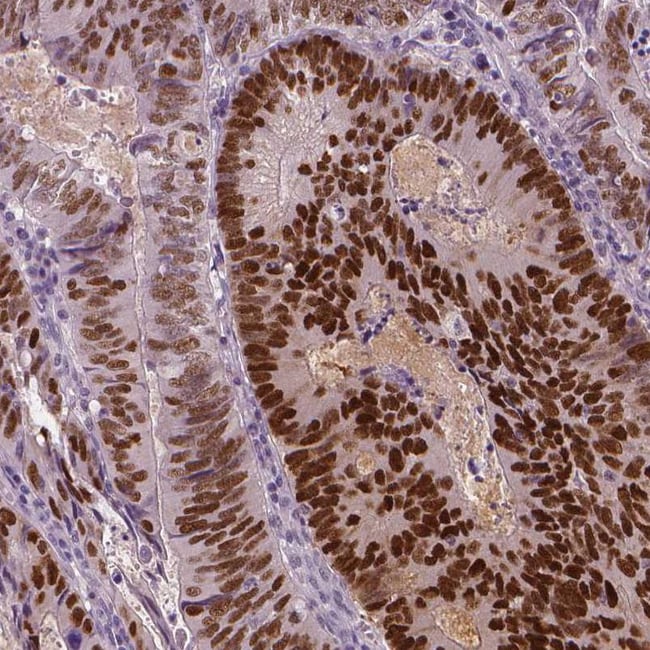
SOX9 has a role in sex determination and differentiation of Sertoli cells. It is involved in chondrogenesis and regulates the expression of other genes involved in chondrogenesis by acting as a transcription factor for these genes. Translocation of this gene can cause campomelic dysplasia. SOX9 is involved in the formation of testes from the indifferent fetal gonads. It is a major molecular component of the neuron-glia switch in developing spinal cord. During normal development, SOX9 allows the prostate epithelium to outgrow into the mesenchyme and then provides basal cell support for development and maintenance of the luminal epithelium. These functions of SOX9 are subverted in prostate cancer to support tumor growth and invasion. SOX9 may direct the formation of neural crest precursors and the development of a range of neural crest derivative. It has a transcriptional regulation in melanin production in cells. Northern blot analysis shows its expression on adult testis, adult heart, and fetal brain.
Specifications
SOX9 | |
Polyclonal | |
Unconjugated | |
SOX9 | |
2010306G03Rik; AV220920; CMD1; CMPD1; mKIAA4243; SOX 9; Sox9; SOX-9; Sox9 transcription factor; SRA1; SRXX2; SRXY10; SRY (sex determining region Y)-box 9; SRY (sex determining region Y)-box 9 (campomelic dysplasia, autosomal sex-reversal); SRY (sex determining region Y)-box9; SRY (sex-determining region Y)-box 9 protein; SRY box 9; SRY-box 9; SRY-Box 9 ; SRY-box containing 9; SRY-box containing gene 9; SRY-box containing protein 9; SRY-box transcription factor 9; SRY-related HMG-box, gene 9; transcription activator Sox9; transcription factor SOX-9 | |
Rabbit | |
Antigen Affinity Chromatography | |
RUO | |
140586, 20682, 6662 | |
Store at 4°C short term. For long term storage, store at -20°C, avoiding freeze/thaw cycles. | |
Liquid |
Immunohistochemistry (Paraffin), Western Blot, Immunocytochemistry, Western Blot | |
0.10 mg/mL | |
PBS with 40% glycerol and 0.02% sodium azide; pH 7.2 | |
P48436, Q04887 | |
SOX9 | |
Recombinant protein corresponding to Human SOX9. Recombinant protein control fragment (Product #RP-100725). | |
100 μL | |
Primary | |
Human, Mouse, Rat | |
Antibody | |
IgG |
Product Content Correction
Your input is important to us. Please complete this form to provide feedback related to the content on this product.
Product Title
Spot an opportunity for improvement?Share a Content Correction