Learn More
Invitrogen™ SPARC Polyclonal Antibody

Description
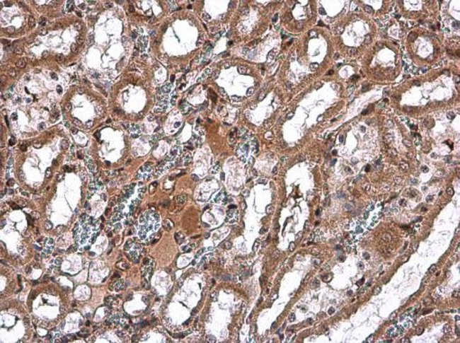
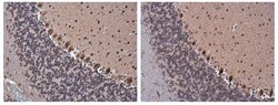
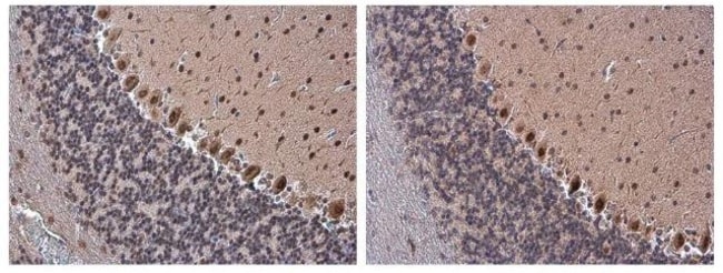
Positive Control: NT2D1 Predicted Reactivity: Pig (85%), Sheep (94%), Bovine (97%) Store product as a concentrated solution. Centrifuge briefly prior to opening the vial.
Specifications
Specifications
| Antigen | SPARC |
| Applications | Immunohistochemistry (Paraffin), Western Blot, Immunocytochemistry |
| Classification | Polyclonal |
| Concentration | 0.54 mg/mL |
| Conjugate | Unconjugated |
| Formulation | PBS with 20% glycerol and 0.025% ProClin 300; pH 7 |
| Gene | SPARC |
| Gene Accession No. | P07214, P09486, P16975 |
| Gene Alias | Basement membrane protein 40; basement-membrane protein 40; BM40; BM-40; Cysteine rich protein; OI17; ON; Osteonectin; osteonectin precursor; Secreted acidic cystein rich glycoprotein; secreted acidic cysteine rich glycoprotein; Secreted acidic cystein-rich glycoprotein (osteonectin); secreted protein acidic and cysteine rich; secreted protein acidic and rich in cysteine; Secreted protein acidic and rich in cysteine (SPARC); secreted protein, acidic, cysteine-rich (osteonectin); secreted protein, acidic, cysteine-rich [osteonectin]; SPARC |
| Gene Symbols | SPARC |
| Show More |
By clicking Submit, you acknowledge that you may be contacted by Fisher Scientific in regards to the feedback you have provided in this form. We will not share your information for any other purposes. All contact information provided shall also be maintained in accordance with our Privacy Policy.