Promotional price valid on web orders only. Your contract pricing may differ. Interested in signing up for a dedicated account number?
Learn More
Learn More
SPATA22 Monoclonal Antibody (OTI6H9), TrueMAB™, OriGene

Mouse Monoclonal Antibody
Supplier: OriGene TA808420

Description
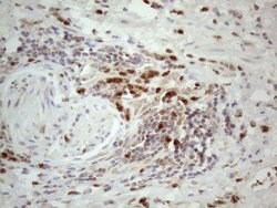
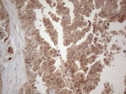
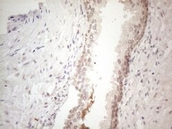
SPATA22 is highly expressed in adult testis. The specific function of SPATA22 is not yet known.Specifications
SPATA22 | |
Monoclonal | |
1 mg/mL | |
PBS with 1% BSA, 50% glycerol and 0.02% sodium azide | |
Q8NHS9 | |
SPATA22 | |
Full length human recombit protein of human SPATA22 produced in E.coli. | |
100 μL | |
Primary | |
Human | |
Antibody | |
IgG1 |
Immunohistochemistry (Paraffin), Western Blot | |
OTI6H9 | |
Unconjugated | |
SPATA22 | |
NYD-SP20, NYDSP20 | |
Mouse | |
Affinity Chromatography | |
RUO | |
84690 | |
-20° C, Avoid Freeze/Thaw Cycles | |
Liquid |
Product Content Correction
The Fisher Scientific Encompass Program offers items which are not part of our distribution portfolio. These products typically do not have pictures or detailed descriptions. However, we are committed to improving your shopping experience. Please use the form below to provide feedback related to the content on this product.
Product Title
Spot an opportunity for improvement?Share a Content Correction