Learn More
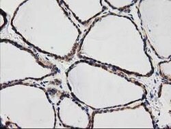
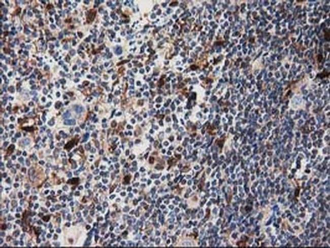
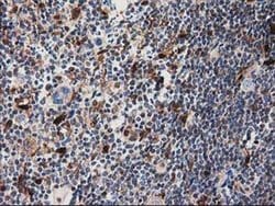
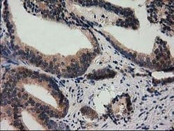
SQSTM1 Monoclonal Antibody (OTI4G9), TrueMAB™, OriGene

Description
Specifications
Specifications
| Antigen | SQSTM1 |
| Applications | Flow Cytometry, Immunohistochemistry (Paraffin), Western Blot |
| Classification | Monoclonal |
| Clone | OTI4G9 |
| Concentration | 0.9 mg/mL |
| Conjugate | Unconjugated |
| Formulation | PBS with 1% BSA, 50% glycerol and 0.02% sodium azide |
| Gene | Sqstm1 |
| Gene Accession No. | Q13501 |
| Gene Alias | A170; EBI3-associated protein of 60 kDa; EBI3-associated protein p60; EBIAP; FTDALS3; hypothetical protein 1; ORCA; OSF-6; Osi; OSIL; oxidative stress induced; oxidative stress induced like; p60; p62; p62B; PDB3; phosphotyrosine independent ligand for the Lck SH2 domain p62; phosphotyrosine-independent ligand for the Lck SH2 domain of 62 kDa; PKC-zeta-interacting protein; protein kinase C-zeta-interacting protein; sb:cb621; Sequestosome 1; sequestosome-1; Sqstm1; STAP; STONE14; ubiquitin-binding protein p62; Unknown (protein for MGC:127197); zgc:85784; ZIP; ZIP3 |
| Show More |
By clicking Submit, you acknowledge that you may be contacted by Fisher Scientific in regards to the feedback you have provided in this form. We will not share your information for any other purposes. All contact information provided shall also be maintained in accordance with our Privacy Policy.