Promotional price valid on web orders only. Your contract pricing may differ. Interested in signing up for a dedicated account number?
Learn More

SS-B Rabbit anti-Human, Mouse, Polyclonal, Bethyl Laboratories

Catalog No. 501566368
Encompass_Preferred
Change view
Click to view available options
Quantity:
10 μL
1 product options available for selection
Product selection table with 1 available options. Use arrow keys to navigate and Enter or Space to select.
Catalog No. Quantity
50-156-6368 10 μL
Use arrow keys to navigate between rows. Press Enter or Space to select a product option. 1 options available.
1 options
Catalog No. 50-156-6368 Supplier Bethyl Laboratories, Inc Supplier No. A303901AT
Only null left
Add to Cart
Add to Cart

Rabbit Polyclonal Antibody

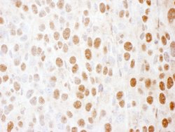
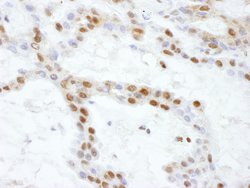
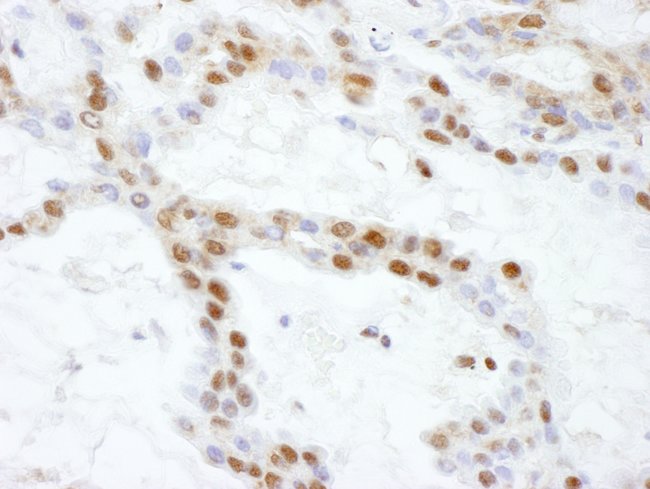
The recommended shelf life for this product is 1 year from date of receipt. Application Note: For IHC, epitope retrieval with citrate buffer pH 6.0 is recommended for FFPE tissue sections. Based on 100% sequence identity, this antibody is predicted to react with Bovine

La is involved in diverse aspects of RNA metabolism, including binding and protecting 3-prime UUU(OH) elements of newly RNA polymerase III (see MIM 606007)-transcribed RNA, processing 5-prime and 3-prime ends of pre-tRNA precursors, acting as an RNA chaperone, and binding viral RNAs associated with hepatitis C virus. La protein was originally defined by its reactivity with autoantibodies from patients with Sjogren syndrome (MIM 270150) and systemic lupus erythematosus (SLE; MIM 152700) (Teplova et al., 2006 [PubMed 16387655]).

Specifications

Antigen SS-B
Applications Immunohistochemistry, Immunoprecipitation
Classification Polyclonal
Concentration 1 mg/ml
Conjugate Unconjugated
Formulation phosphate, tris citrate with 0.09% sodium azide; pH 7-8
Gene SSB
Gene Accession No. P05455, P32067
Gene Alias Lupus La protein; Sjoegren syndrome type B antigen; SS-B; La ribonucleoprotein; La autoantigen; SSB
Gene Symbols SSB
Host Species Rabbit
Immunogen Between 50 and 100
Purification Method Antigen affinity chromatography
Quantity 10 μL
Regulatory Status RUO
Primary or Secondary Primary
Gene ID (Entrez) 20823, 6741
Target Species Human, Mouse
Content And Storage 4° C
Product Type Antibody
Form Liquid
Isotype IgG
Show More Show Less
Product Title
Select an issue

By clicking Submit, you acknowledge that you may be contacted by Fisher Scientific in regards to the feedback you have provided in this form. We will not share your information for any other purposes. All contact information provided shall also be maintained in accordance with our Privacy Policy.