Promotional price valid on web orders only. Your contract pricing may differ. Interested in signing up for a dedicated account number?
Learn More
Learn More
Invitrogen™ STK32C Polyclonal Antibody

Rabbit Polyclonal Antibody
Supplier: Invitrogen™ PA5106733
Description
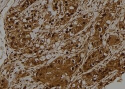
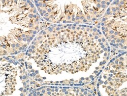
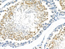
Antibody detects endogenous levels of total STK32C.
STK32C or YANK3 is a member of the YANK family and is a serine/threonine protein kinase of approximately 486 aa that requires magnesium for catalytic activity. There are two isoforms of the protein generated by alternative splicing and the protein undergoes serine phosphorylation by upstream protein kinases. The STK32C gene product is conserved in many species including chimpanzee, dog, cow, mouse, rat, and chicken.
Specifications
| STK32C | |
| Polyclonal | |
| Unconjugated | |
| Stk32c | |
| MNCb-1563; PKE; PKE protein kinase; Pkek; RP11-140A10.1; serine/threonine kinase 32C; serine/threonine-protein kinase 32C; STK32C; testicular tissue protein Li 187; YANK3; Yet another novel kinase 3 | |
| Rabbit | |
| Affinity Chromatography | |
| RUO | |
| 282974, 365381, 57740 | |
| -20°C | |
| Liquid |
| Immunohistochemistry (Paraffin), Western Blot, Immunocytochemistry | |
| 1 mg/mL | |
| PBS with 50% glycerol and 0.02% sodium azide; pH 7.4 | |
| Q86UX6, Q8QZV4 | |
| Stk32c | |
| A synthesized peptide derived from human STK32C(Accession Q86UX6), corresponding to amino acid residues H339-I389. | |
| 100 μL | |
| Primary | |
| Human, Mouse, Rat | |
| Antibody | |
| IgG |
Safety and Handling
WARNING: Cancer - www.P65Warnings.ca.gov
Product Content Correction
Your input is important to us. Please complete this form to provide feedback related to the content on this product.
Product Title
Spot an opportunity for improvement?Share a Content Correction