Learn More
Invitrogen™ SUMO-3 Polyclonal Antibody

Description
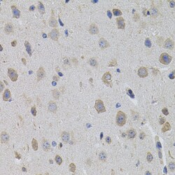
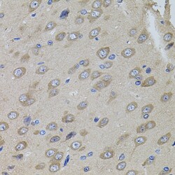
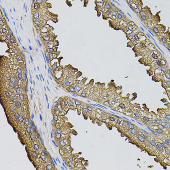
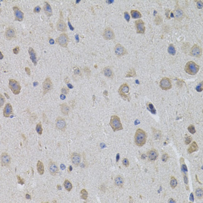
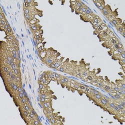
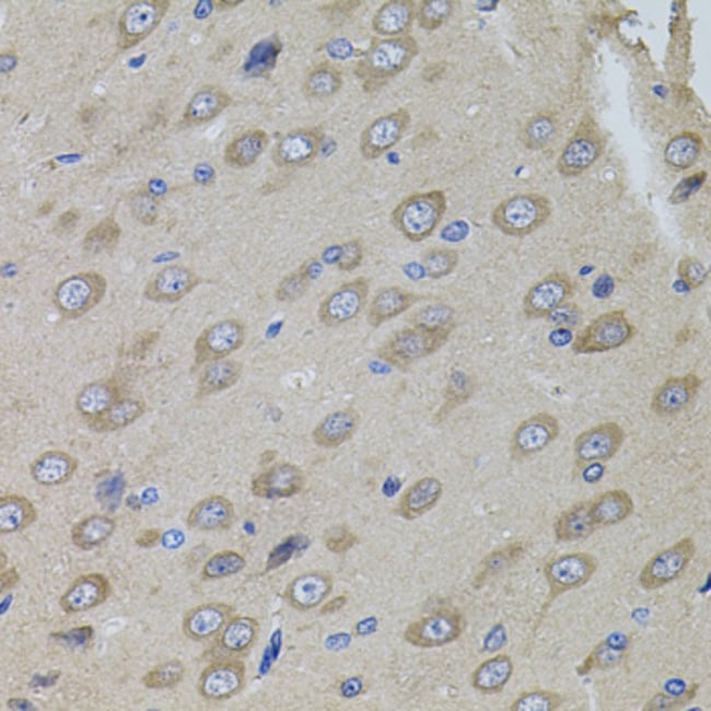
Positive Samples: MCF7; Cellular Location: Cytoplasm, Nucleus, PML body Immunogen sequence: GLSMRQIRFR FDGQPINET.
Specifications
Specifications
| Antigen | SUMO-3 |
| Applications | ELISA, Immunohistochemistry (Paraffin), Western Blot |
| Classification | Polyclonal |
| Concentration | 0.55 mg/mL |
| Conjugate | Unconjugated |
| Formulation | PBS with 50% glycerol and 0.01% thimerosal; pH 7.3 |
| Gene | SUMO3 |
| Gene Accession No. | P55854, Q5XIF4, Q9Z172 |
| Gene Alias | 2810014B19Rik; D10Ertd345e; small ubiquitin like modifier 3; small ubiquitin-like modifier 3; small ubiquitin-related modifier 3; SMT3 (supressor of mif two, 3) homolog 1; SMT3 homolog 1; SMT3 suppressor of mif two 3 homolog 1; SMT3 suppressor of mif two 3 homolog 3; SMT3 suppressor of mif two 3 homolog 3 (yeast); Smt3A; Smt3B; SMT3H1; SUMO-2; Sumo3; SUMO-3; Ubiquitin-like protein SMT3A; ubiquitin-like protein SMT3B |
| Gene Symbols | SUMO3 |
| Show More |
Safety and Handling
By clicking Submit, you acknowledge that you may be contacted by Fisher Scientific in regards to the feedback you have provided in this form. We will not share your information for any other purposes. All contact information provided shall also be maintained in accordance with our Privacy Policy.