Promotional price valid on web orders only. Your contract pricing may differ. Interested in signing up for a dedicated account number?
Learn More

SUPT6H Rabbit anti-Human, Mouse, Polyclonal, Bethyl Laboratories

Rabbit Polyclonal Antibody

Supplier:  Bethyl Laboratories, Inc A300801A

Encompass_Preferred

Catalog No. 50-155-8479


May include imposed supplier surcharges.
Only null left
Add to Cart

Description

Description

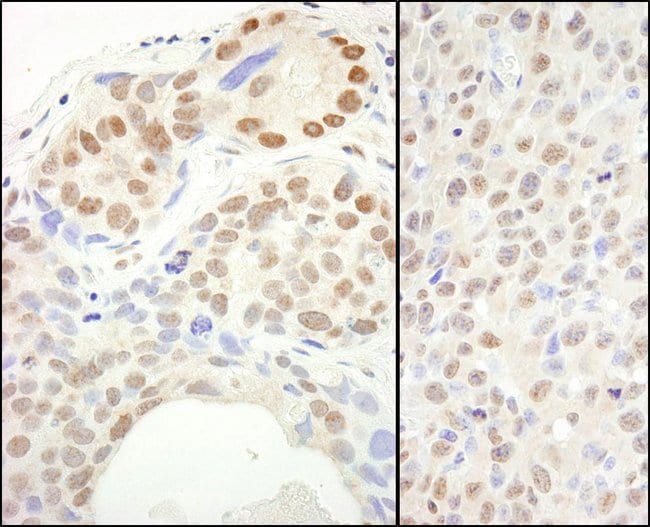
The recommended shelf life for this product is 1 year from date of receipt. Application Note: For IHC, epitope retrieval with citrate buffer pH 6.0 is recommended for FFPE tissue sections.

Transcription elongation factor which binds histone H3 and plays a key role in the regulation of transcription elongation and mRNA processing. Enhances the transcription elongation by RNA polymerase II (RNAPII) and is also required for the efficient activation of transcriptional elongation by the HIV-1 nuclear transcriptional activator, Tat. Besides chaperoning histones in transcription, acts to transport and splice mRNA by forming a complex with IWS1 and the C-terminal domain (CTD) of the RNAPII subunit RPB1 (POLR2A). The SUPT6H:IWS1:CTD complex recruits mRNA export factors (ALYREF/THOC4, EXOSC10) as well as histone modifying enzymes (such as SETD2), to ensure proper mRNA splicing, efficient mRNA export and elongation-coupled H3K36 methylation, a signature chromatin mark of active transcription. SUPT6H via its association with SETD1A, regulates both class-switch recombination and somatic hypermutation through formation of H3K4me3 epigenetic marks on activation-induced cytidine deaminase (AICDA) target loci. Promotes the activation of the myogenic gene program by entailing erasure of the repressive H3K27me3 epigenetic mark through stabilization of the chromatin interaction of the H3K27 demethylase KDM6A.
Specifications

Specifications

SUPT6H
Polyclonal
Unconjugated
SUPT6H
KIAA0162, MGC87943, SPT6, SPT6H, emb-5, hSPT6; tat-CT2 protein; tat-cotransactivator 2 protein; transcription elongation factor SPT6
Rabbit
Antigen affinity chromatography
RUO
20926, 6830
4° C
Liquid
Immunohistochemistry, Immunoprecipitation, Western Blot
0.2 mg/ml
TBS with 0.1% BSA and 0.09% sodium azide
Q62383, Q7KZ85
Supt6, SUPT6H
Between 425 and 475
100 μL
Primary
Human, Mouse
Antibody
IgG
Product Suggestions

Product Suggestions

Videos
SDS
Documents

Documents

Product Certifications
Promotions

Promotions

Product Content Correction

The Fisher Scientific Encompass Program offers items which are not part of our distribution portfolio. These products typically do not have pictures or detailed descriptions. However, we are committed to improving your shopping experience. Please use the form below to provide feedback related to the content on this product.

Product Title

By clicking Submit, you acknowledge that you may be contacted by Fisher Scientific in regards to the feedback you have provided in this form. We will not share your information for any other purposes. All contact information provided shall also be maintained in accordance with our Privacy Policy.

Your feedback has been submitted: Thank you for helping us improve our website.