Learn More
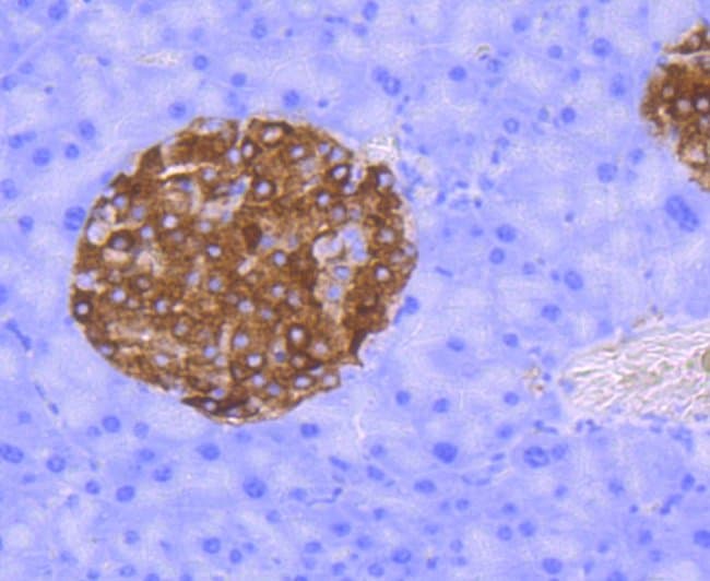
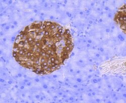
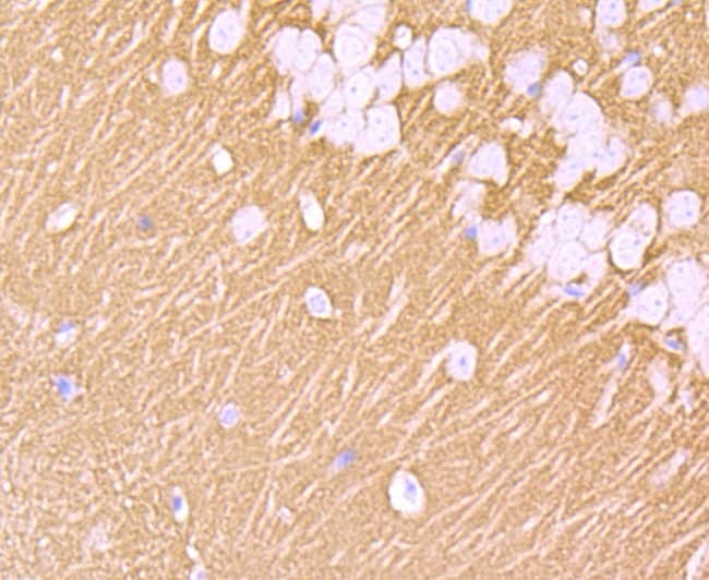
Invitrogen™ Synaptophysin Recombinant Rabbit Monoclonal Antibody (SJ26-85)

Description
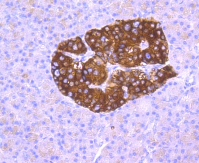
Synaptophysin Recombinant Monoclonal Antibody for Western Blot, IHC (P), IHC (F)
Specifications
Specifications
| Antigen | Synaptophysin |
| Applications | Immunohistochemistry (Frozen), Immunohistochemistry (Paraffin), Western Blot |
| Classification | Recombinant Monoclonal |
| Clone | SJ26-85 |
| Concentration | 1 mg/mL |
| Conjugate | Unconjugated |
| Formulation | TBS with 0.05% BSA, 40% glycerol and 0.05% sodium azide; pH 7.4 |
| Gene | Syp |
| Gene Accession No. | P07825, P08247, Q62277 |
| Gene Alias | A230093K24Rik; AI848995; BM89 antigen; I79_012252; Major synaptic vesicle protein p38; MRX96; MRXSYP; p38; Syn; Synaptophysin; Syp; Syp I; Syp1 |
| Show More |
By clicking Submit, you acknowledge that you may be contacted by Fisher Scientific in regards to the feedback you have provided in this form. We will not share your information for any other purposes. All contact information provided shall also be maintained in accordance with our Privacy Policy.