Promotional price valid on web orders only. Your contract pricing may differ. Interested in signing up for a dedicated account number?
Learn More
Learn More
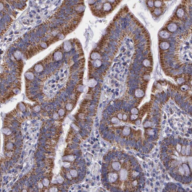
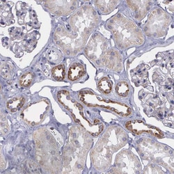
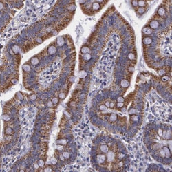
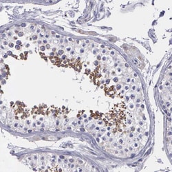
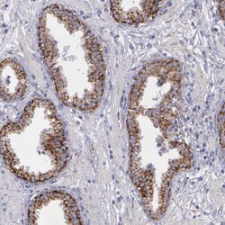
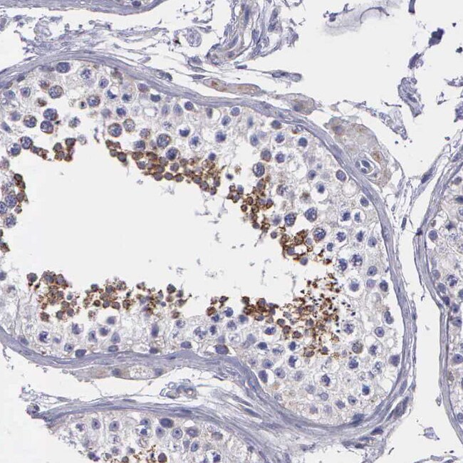
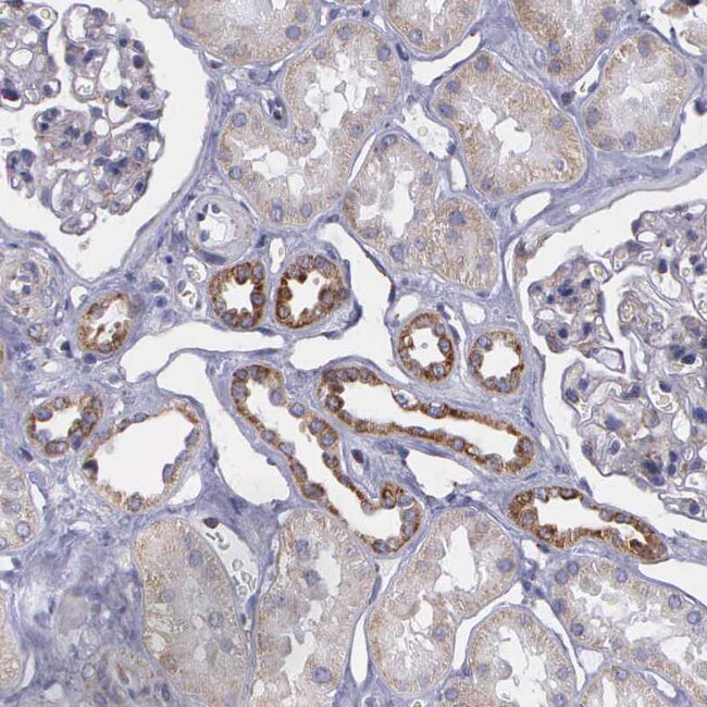
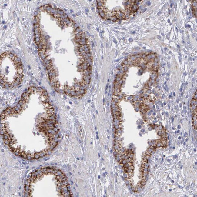
Invitrogen™ SYNJ2BP Polyclonal Antibody

Rabbit Polyclonal Antibody
Supplier: Invitrogen™ PA551471
Description
Immunogen sequence: NGRVDYLVTE EEINLTRGPS GLGFNIVGGT DQQYVSNDSG IYVSRIKENG AAALDGRLQE GDKILSVNGQ DLKNLLHQDA VDLFRNAGYA VSLRVQHRLQ VQNGPIGHRG EG Highest antigen sequence identity to the following orthologs: Mouse - 96%, Rat - 95%.
Regulates endocytosis of activin type 2 receptor kinases through the Ral/RALBP1-dependent pathway and may be involved in suppression of activin-induced signal transduction.
Specifications
SYNJ2BP | |
Polyclonal | |
Unconjugated | |
SYNJ2BP | |
AA409442; activin receptor interacting protein 2; activin receptor interacting protein 5; activin receptor-interacting protein 2; activin receptor-interacting protein 2a; activin receptor-interacting protein 4; ActRIP4; Arip2; ARIP2a; D12Wsu118e; Mitochondrial outer membrane protein 25; NPW16; Omp25; outer membrane protein; outer membrane protein 25; synaptojanin 2 binding protein; synaptojanin-2-binding protein; SYNJ2BP | |
Rabbit | |
Antigen Affinity Chromatography | |
RUO | |
24071, 55333 | |
Store at 4°C short term. For long term storage, store at -20°C, avoiding freeze/thaw cycles. | |
Liquid |
Immunohistochemistry (Paraffin), Western Blot, Immunocytochemistry | |
0.1 mg/mL | |
PBS with 40% glycerol and 0.02% sodium azide; pH 7.2 | |
P57105, Q9D6K5 | |
SYNJ2BP | |
Recombinant protein corresponding to Human SYNJ2BP. Recombinant protein control fragment (Product #RP-88909). | |
100 μL | |
Primary | |
Human, Mouse | |
Antibody | |
IgG |
Safety and Handling
WARNING: Cancer - www.P65Warnings.ca.gov
Product Content Correction
Your input is important to us. Please complete this form to provide feedback related to the content on this product.
Product Title
Spot an opportunity for improvement?Share a Content Correction