Promotional price valid on web orders only. Your contract pricing may differ. Interested in signing up for a dedicated account number?
Learn More
Learn More
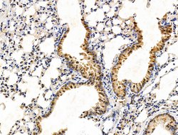
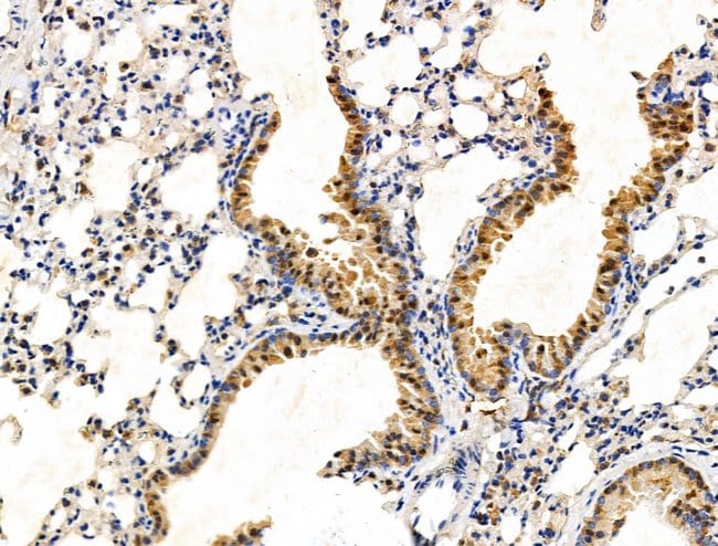
Invitrogen™ TBL1X Polyclonal Antibody
Rabbit Polyclonal Antibody
Supplier: Invitrogen™ PA5116007
Description
Antibody detects endogenous levels of total TBL1.
The protein encoded by this gene has sequence similarity with members of the WD40 repeat-containing protein family. The WD40 group is a large family of proteins, which appear to have a regulatory function. It is believed that the WD40 repeats mediate protein-protein interactions and members of the family are involved in signal transduction, RNA processing, gene regulation, vesicular trafficking, cytoskeletal assembly and may play a role in the control of cytotypic differentiation. This encoded protein is found as a subunit in corepressor SMRT (silencing mediator for retinoid and thyroid receptors) complex along with histone deacetylase 3 protein. This gene is located adjacent to the ocular albinism gene and it is thought to be involved in the pathogenesis of the ocular albinism with late-onset sensorineural deafness phenotype. Four transcript variants encoding two different isoforms have been found for this gene. This gene is highly similar to the Y chromosome TBL1Y gene.
Specifications
TBL1X | |
Polyclonal | |
Unconjugated | |
Tbl1x | |
5330429M20; EBI; F-box-like/WD repeat-containing protein TBL1X; RGD1563868; SMAP55; TBL1; Tbl1x; transducin (beta)-like 1 X-linked; transducin (beta)-like 1X-linked; transducin beta-like protein 1X; Transducin-beta-like protein 1, X-linked | |
Rabbit | |
Affinity chromatography | |
RUO | |
21372, 302711, 6907 | |
-20°C | |
Liquid |
Immunohistochemistry (Paraffin), Western Blot | |
1 mg/mL | |
PBS with 50% glycerol and 0.02% sodium azide | |
O60907, Q9QXE7 | |
Tbl1x | |
A synthesized peptide derived from human TBL1X(Accession O60907), corresponding to amino acid residues S179-R229. | |
100 μL | |
Primary | |
Human, Mouse, Rat | |
Antibody | |
IgG |
Safety and Handling
WARNING: Cancer - www.P65Warnings.ca.gov
Product Content Correction
Your input is important to us. Please complete this form to provide feedback related to the content on this product.
Product Title
Spot an opportunity for improvement?Share a Content Correction