Learn More
Invitrogen™ TCP-1 beta Polyclonal Antibody

Description
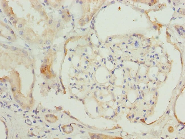
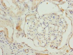
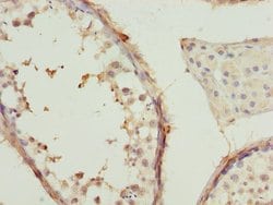
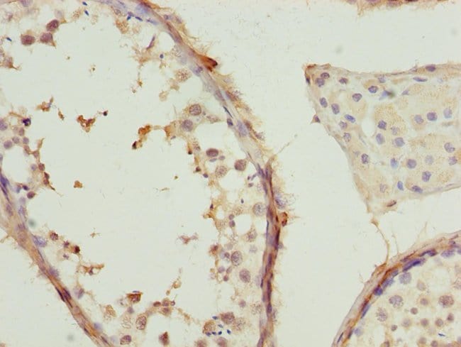
TCP-1 beta Polyclonal Antibody for Western Blot, IHC (P), IP, ELISA
Specifications
Specifications
| Antigen | TCP-1 beta |
| Applications | ELISA, Immunohistochemistry (Paraffin), Immunoprecipitation, Western Blot |
| Classification | Polyclonal |
| Concentration | 0.35 mg/mL |
| Conjugate | Unconjugated |
| Formulation | PBS with 50% glycerol and 0.02% sodium azide; pH 7.3 |
| Gene | CCT2 |
| Gene Accession No. | P78371 |
| Gene Alias | 99D8.1; AI528772; c-cpn; CCT; Cct1; CCT2; Ccta; CCTB; CCT-beta; chaperonin containing t-complex polypeptide 1, beta subunit; chaperonin containing t-complex polypeptide 1, subunit 2; chaperonin containing TCP1 subunit 2; chaperonin containing Tcp1, subunit 2 (beta); chaperonin subunit 2 (beta); chaperonin-containing T-complex polypeptide beta subunit; epididymis secretory sperm binding protein Li 100n; HEL-S-100n; hypothetical protein LOC505313; p63; PRO1633; T-complex protein 1 subunit beta; T-complex protein 1, beta subunit; Tcp-1; TCP-1-beta; Tp63; TRic |
| Gene Symbols | CCT2 |
| Show More |
By clicking Submit, you acknowledge that you may be contacted by Fisher Scientific in regards to the feedback you have provided in this form. We will not share your information for any other purposes. All contact information provided shall also be maintained in accordance with our Privacy Policy.