Learn More
Invitrogen™ TDP-43 Recombinant Rabbit Monoclonal Antibody (JM51-10)

Rabbit Recombinant Monoclonal Antibody
Supplier: Invitrogen™ MA532627
Description
Recombinant rabbit monoclonal antibodies are produced using in vitro expression systems. The expression systems are developed by cloning in the specific antibody DNA sequences from immunoreactive rabbits. Then, individual clones are screened to select the best candidates for production. The advantages of using recombinant rabbit monoclonal antibodies include: better specificity and sensitivity, lot-to-lot consistency, animal origin-free formulations, and broader immunoreactivity to diverse targets due to larger rabbit immune repertoire.
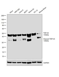
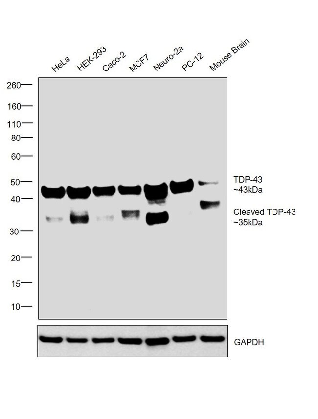
TDP43 was first identified as a novel cellular protein that binds to HIV-1 virus TAR DNA sequence motifs and acts a transcriptional repressor to the HIV-1 LTR. Later experiments revealed that TDP43 also regulates the splicing of exon 9 of the cystic fibrosis transmembrane conductance regular (CFTR), most likely through the association with the UG repeats at the 3'e; splice site. A hyperphosphorylated, ubiquitinated, and cleaved form of TDP43 known as pathologic TDP43 is the major disease protein in ubiquitin-positive, tau-, and alpha-synuclein-negative frontotemporal dementia (FLTD-U). TDP43 is not related to TRBP1, and RNA binding protein that binds HIV-1 TAR RNA sequences.
Specifications
TDP-43 | |
Recombinant Monoclonal | |
1 mg/mL | |
TBS with 0.05% BSA, 40% Glycerol and 0.05% sodium azide; pH 7.4 | |
Q13148, Q921F2 | |
TARDBP | |
Synthetic peptide within Human TDP43 aa 354-390. | |
100 μL | |
Primary | |
Human, Mouse, Rat, Zebrafish | |
Antibody | |
IgG |
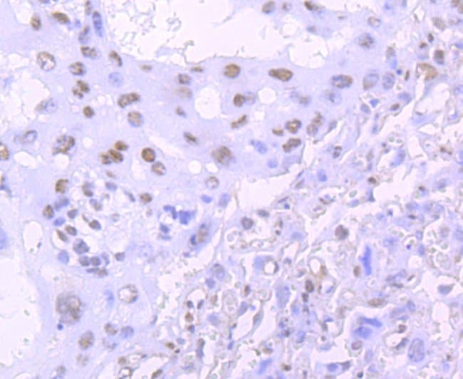
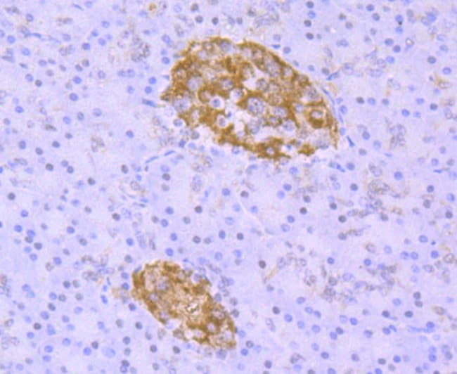
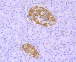
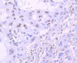
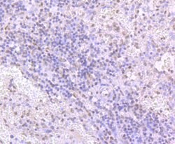
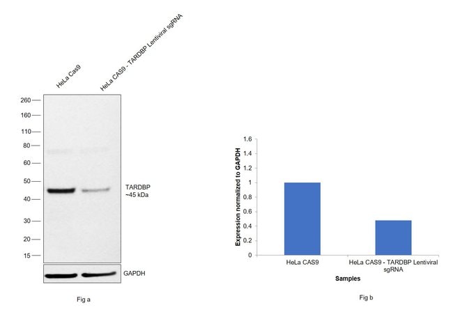
Flow Cytometry, Immunohistochemistry (Frozen), Immunohistochemistry (Paraffin), Immunoprecipitation, Western Blot, Immunocytochemistry | |
JM51-10 | |
Unconjugated | |
TARDBP | |
1190002A23Rik; ALS10; C85084; hypothetical protein; OTTHUMP00000002171; OTTHUMP00000002173; RCJMB04_5g9; RP4-635E18.2; TAR DNA binding protein; TAR DNA binding protein L homeolog; TAR DNA-binding protein 43; TAR DNA-binding protein-43; tardbp; tardbp.L; Tdp43; TDP-43; wu:fb77f02; wu:fc52g10; XELAEV_18035188mg | |
Rabbit | |
Protein A | |
RUO | |
230908, 23435, 298648, 325052 | |
Store at 4°C short term. For long term storage, store at -20°C, avoiding freeze/thaw cycles. | |
Liquid |
Your input is important to us. Please complete this form to provide feedback related to the content on this product.