Promotional price valid on web orders only. Your contract pricing may differ. Interested in signing up for a dedicated account number?
Learn More

THRAP3/TRAP150 Rabbit anti-Human, Polyclonal, Bethyl Laboratories

Rabbit Polyclonal Antibody

Supplier:  Bethyl Laboratories, Inc A300956A

Encompass_Preferred

Catalog No. 50-155-8880


May include imposed supplier surcharges.
Only null left
Add to Cart

Description

Description

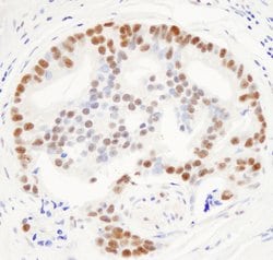
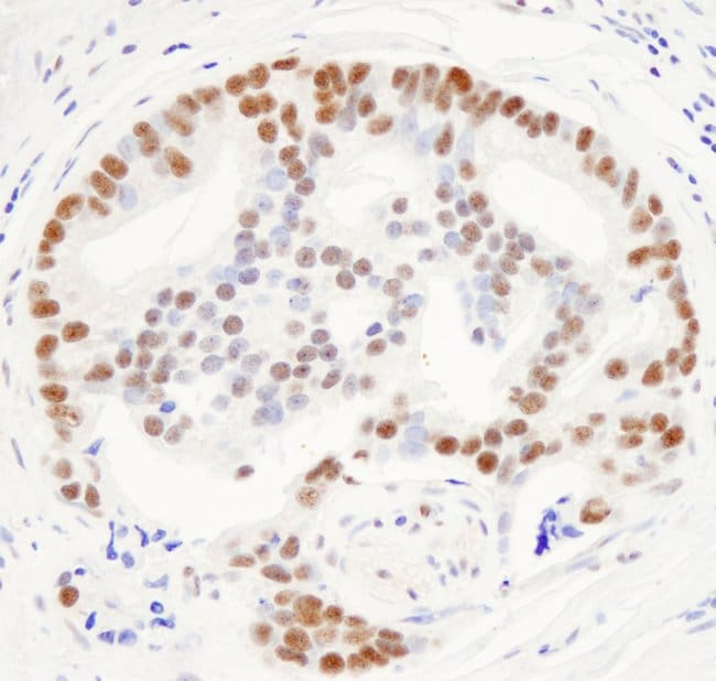
The recommended shelf life for this product is 1 year from date of receipt. Application Note: For IHC, epitope retrieval with citrate buffer pH 6.0 is recommended for FFPE tissue sections.

THRAP3 is a 955 amino acid novel nuclear receptor and a member of the Thyroid hormone receptor associated proteins with a LISH domain and no obvious known sequence motifs. THRAP3 is a 150 kDa subunit of the large multiprotein complex TRAP and is important in the maintece of the fundamental structure of the fibrillar center and dense fibrillar component in the nucleolus. It is also known to play an important role in transcriptional coactivation. It is known to interact with DKC1, nop5/nap65 and fibrillarin. From the Northern blot analysis of several human tissues it was found that TRAP150 is ubiquitously expressed.
Specifications

Specifications

THRAP3/TRAP150
Polyclonal
Unconjugated
THRAP3
TRAP150, thyroid hormone receptor-associated protein 3, thyroid hormone receptor-associated protein complex 150 kDa component, thyroid hormone receptor-associated protein, 150 kDa subunit
Rabbit
Antigen affinity chromatography
RUO
9967
4° C
Liquid
Immunohistochemistry, Immunoprecipitation, Western Blot
0.2 mg/ml
TBS with 0.1% BSA and 0.09% sodium azide
Q9Y2W1
THRAP3
Between 905 and C-term
100 μL
Primary
Human
Antibody
IgG
Product Suggestions

Product Suggestions

Videos
SDS
Documents

Documents

Product Certifications
Promotions

Promotions

Product Content Correction

The Fisher Scientific Encompass Program offers items which are not part of our distribution portfolio. These products typically do not have pictures or detailed descriptions. However, we are committed to improving your shopping experience. Please use the form below to provide feedback related to the content on this product.

Product Title

By clicking Submit, you acknowledge that you may be contacted by Fisher Scientific in regards to the feedback you have provided in this form. We will not share your information for any other purposes. All contact information provided shall also be maintained in accordance with our Privacy Policy.

Your feedback has been submitted: Thank you for helping us improve our website.