Promotional price valid on web orders only. Your contract pricing may differ. Interested in signing up for a dedicated account number?
Learn More
Learn More
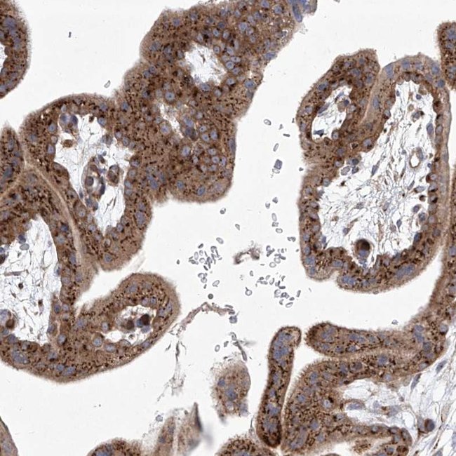
Invitrogen™ TJAP1 Polyclonal Antibody

Rabbit Polyclonal Antibody
Supplier: Invitrogen™ PA556377
Description
Immunogen sequence: SASSEEDLLV SWQRAFVDRT PPPAAVAQRT AFGRDALPEL QRHFAHSPAD RDEVVQAPSA RPEESELLLP TEP Highest antigen sequence identity to the following orthologs: Mouse - 67%, Rat - 71%.
This gene encodes a tight junction-associated protein. Incorporation of the encoded protein into tight junctions occurs at a late stage of formation of the junctions. The encoded protein localizes to the Golgi and may function in vesicle trafficking. Alternatively spliced transcript variants have been described. A related pseudogene exists on the X chromosome.
Specifications
| TJAP1 | |
| Polyclonal | |
| Unconjugated | |
| TJAP1 | |
| 0610041D19Rik; AI415281; AW121008; hdlg-binding protein Pilt; Pilt; Protein incorporated later into tight junctions; sb:eu465; si:dkey-109m21.1; tight junction associated protein 1; tight junction associated protein 1 (peripheral); tight junction associated protein 1 (peripheral) isoform 1; tight junction associated protein 1 (peripheral) isoform 2; Tight junction protein 4; tight junction protein 4 (peripheral); tight junction-associated protein 1; TJAP1; TJP4 | |
| Rabbit | |
| Antigen affinity chromatography | |
| RUO | |
| 93643 | |
| Store at 4°C short term. For long term storage, store at -20°C, avoiding freeze/thaw cycles. | |
| Liquid |
| Immunohistochemistry (Paraffin), Western Blot, Immunocytochemistry | |
| 0.3 mg/mL | |
| PBS with 40% glycerol and 0.02% sodium azide; pH 7.2 | |
| Q5JTD0 | |
| TJAP1 | |
| Recombinant protein corresponding to Human TJAP1. Recombinant protein control fragment (Product #RP-102563). | |
| 100 μL | |
| Primary | |
| Human | |
| Antibody | |
| IgG |
Product Content Correction
Your input is important to us. Please complete this form to provide feedback related to the content on this product.
Product Title
Spot an opportunity for improvement?Share a Content Correction