Promotional price valid on web orders only. Your contract pricing may differ. Interested in signing up for a dedicated account number?
Learn More

TLK2 Rabbit anti-Human, Polyclonal, Bethyl Laboratories

Rabbit Polyclonal Antibody

Supplier:  Bethyl Laboratories, Inc A301257A

Encompass_Preferred

Catalog No. 50-155-9905


May include imposed supplier surcharges.
Only null left
Add to Cart

Description

Description

The recommended shelf life for this product is 1 year from date of receipt. Based on 100% sequence identity, this antibody is predicted to react with Mouse

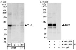
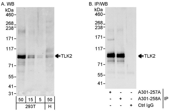
TLK2, a member of the Ser/Thr protein kinase family, is rapidly and transiently inhibited by phosphorylation following the generation of DNA double-stranded breaks during S-phase. This is cell cycle checkpoint and ATM-pathway dependent and appears to regulate processes involved in chromatin assembly. The TLK2 enzyme is cell-cycle regulated, with maximal activity in S-phase. It is inactivated by phosphorylation at Ser-750, potentially by CHK1. TLK2 heterodimerizes with TLK1. This nuclear protein is widely expressed, with presence in fetal placenta, liver, kidney, pancreas, heart and skeletal muscle tissues, and in several adult cell lines.
Specifications

Specifications

TLK2
Polyclonal
Unconjugated
TLK2
Serine/threonine-protein kinase tousled-like 2, Tousled-like kinase 2, PKU-alpha
Rabbit
Antigen affinity chromatography
RUO
11011
4° C
Liquid
Immunoprecipitation, Western Blot
1 mg/ml
phosphate, tris citrate with 0.09% sodium azide; pH 7-8
Q86UE8
TLK2
Between 722 and 772
100 μL
Primary
Human
Antibody
IgG
Product Suggestions

Product Suggestions

Videos
SDS
Documents

Documents

Product Certifications
Promotions

Promotions

Product Content Correction

The Fisher Scientific Encompass Program offers items which are not part of our distribution portfolio. These products typically do not have pictures or detailed descriptions. However, we are committed to improving your shopping experience. Please use the form below to provide feedback related to the content on this product.

Product Title

By clicking Submit, you acknowledge that you may be contacted by Fisher Scientific in regards to the feedback you have provided in this form. We will not share your information for any other purposes. All contact information provided shall also be maintained in accordance with our Privacy Policy.

Your feedback has been submitted: Thank you for helping us improve our website.