Promotional price valid on web orders only. Your contract pricing may differ. Interested in signing up for a dedicated account number?
Learn More
Learn More
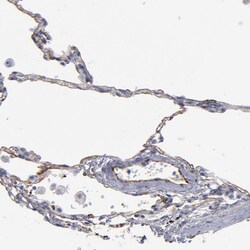
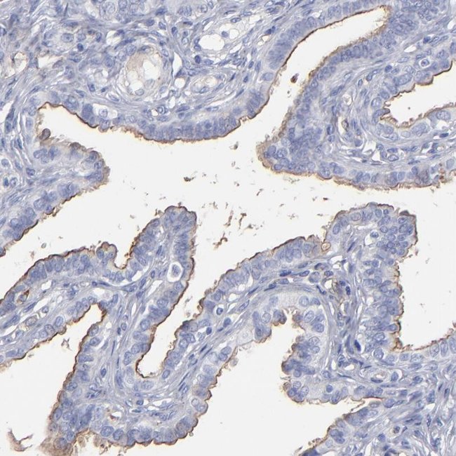
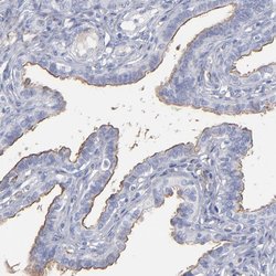
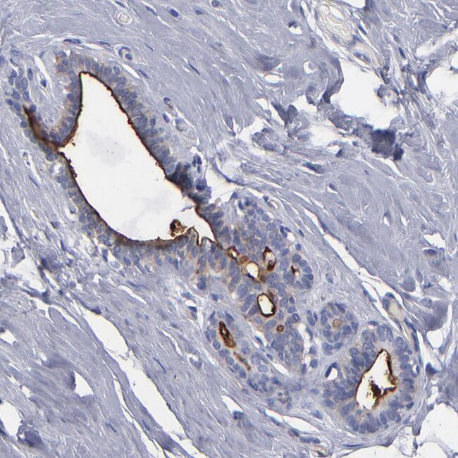
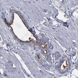
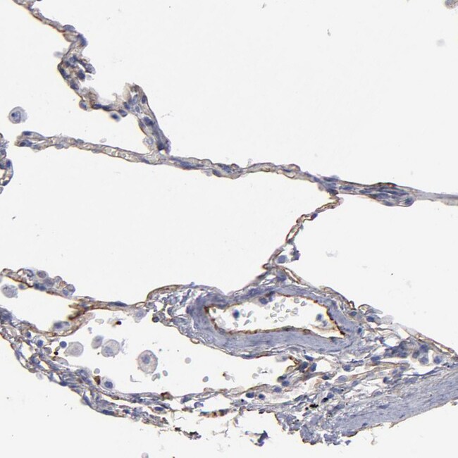
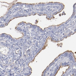
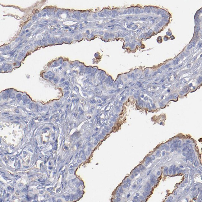
Invitrogen™ TM4SF1 Polyclonal Antibody

Rabbit Polyclonal Antibody
Supplier: Invitrogen™ PA551746
Description
Immunogen sequence: GPLCLDSLGQ WNYTFASTEG QYLLDTSTWS ECTEPKHIVE WNVSLFSI Highest antigen sequence identity to the following orthologs: Mouse - 75%, Rat - 77%.
TM4SF1 is a member of the transmembrane 4 superfamily, also known as the tetraspanin family. Most of these members are cell-surface proteins that are characterized by the presence of four hydrophobic domains and mediate signal transduction events that play a role in the regulation of cell development, activation, growth and motility. TM4SF1 is a cell surface antigen and is highly expressed in the vascular endothelium of several human cancers. Knockdown experiments of TM4SF1 prevented filopodia formation, inhibited cell mobility, blocked cytokinesis, and inhibited maturation of VEGF-A-induced angiogenesis, suggesting that TM4SF1 may be an attractive target for anti-angiogenesis therapy.
Specifications
TM4SF1 | |
Polyclonal | |
Unconjugated | |
TM4SF1 | |
12A8 target antigen; H-L6; L6; L6 antigen; M3S1; Membrane component chromosome 3 surface marker 1; membrane component chromosome 3 surface marker 1 homolog; membrane component, chromosome 3, surface marker 1; membrane component, surface marker 1; TAAL6; TM4SF1; transmembrane 4 L six family member 1; transmembrane 4 L6 family member 1; transmembrane 4 superfamily member 1; tumor-associated antigen L6 | |
Rabbit | |
Antigen Affinity Chromatography | |
RUO | |
4071 | |
Store at 4°C short term. For long term storage, store at -20°C, avoiding freeze/thaw cycles. | |
Liquid |
Immunohistochemistry (Paraffin) | |
0.20 mg/mL | |
PBS with 40% glycerol and 0.02% sodium azide; pH 7.2 | |
P30408 | |
TM4SF1 | |
Recombinant protein corresponding to Human TM4SF1. Recombinant protein control fragment (Product #RP-101051). | |
100 μL | |
Primary | |
Human | |
Antibody | |
IgG |
Product Content Correction
Your input is important to us. Please complete this form to provide feedback related to the content on this product.
Product Title
Spot an opportunity for improvement?Share a Content Correction