Promotional price valid on web orders only. Your contract pricing may differ. Interested in signing up for a dedicated account number?
Learn More
Learn More
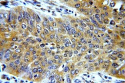
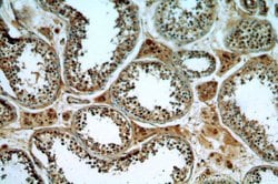
TMF1 Rabbit anti-Human, Polyclonal, Proteintech

Rabbit Polyclonal Antibody
Supplier: Proteintech Group Inc 197281AP150UL

Description
The antibody is specific to TMF1.
Adapter protein that may provide indirect link between the endocytic membrane traffic and the actin assembly machinery. May regulate the formation of clathrin-coated vesicles. Isoform 1 could be involved in brain-specific synaptic vesicle recycling.Specifications
TMF1 | |
Polyclonal | |
Unconjugated | |
TMF1 | |
TMF1 | |
Peptide | |
150 μL | |
Primary | |
Human | |
Antibody | |
IgG |
Immunocytochemistry, Immunofluorescence, Immunohistochemistry (Paraffin), Immunoprecipitation, Western Blot | |
0.19 mg/mL | |
PBS with 50% glycerol and 0.02% sodium azide; pH 7.3 | |
P82094 | |
Rabbit | |
Antigen Affinity Chromatography | |
RUO | |
7110 | |
-20°C | |
Liquid |
Product Content Correction
The Fisher Scientific Encompass Program offers items which are not part of our distribution portfolio. These products typically do not have pictures or detailed descriptions. However, we are committed to improving your shopping experience. Please use the form below to provide feedback related to the content on this product.
Product Title
Spot an opportunity for improvement?Share a Content Correction