Learn More
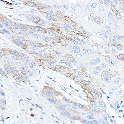
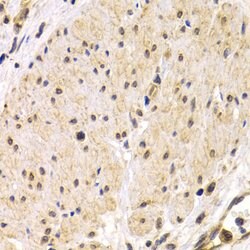
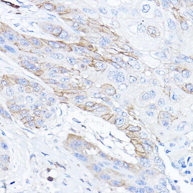
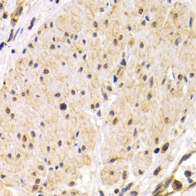
Invitrogen™ TMPRSS2 Polyclonal Antibody

Description
The antibody was affinity-purified from rabbit antiserum by affinity-chromatography using epitope-specific immunogen and the purity is > 95% (by SDS-PAGE).
Specifications
Specifications
| Antigen | TMPRSS2 |
| Applications | Immunohistochemistry (Paraffin), Western Blot, Immunocytochemistry |
| Classification | Polyclonal |
| Concentration | 1 mg/mL |
| Conjugate | Unconjugated |
| Formulation | PBS with 50% glycerol and 0.02% sodium azide; pH 7.2 |
| Gene | TMPRSS2 |
| Gene Accession No. | O15393, Q9JIQ8 |
| Gene Alias | D16Ertd61e; EC 3.4.219; epitheliasin; FLJ41954; MGC6821; Plasmic transmembrane protein X; PP9284; PRSS10; Serine protease 10; Tmprss2; TMPS2; Transmembrane protease serine 2; Transmembrane protease serine 2 catalytic chain; Transmembrane protease serine 2 non-catalytic chain; transmembrane protease, serine 2 |
| Gene Symbols | TMPRSS2 |
| Show More |
Safety and Handling
By clicking Submit, you acknowledge that you may be contacted by Fisher Scientific in regards to the feedback you have provided in this form. We will not share your information for any other purposes. All contact information provided shall also be maintained in accordance with our Privacy Policy.