Promotional price valid on web orders only. Your contract pricing may differ. Interested in signing up for a dedicated account number?
Learn More
Learn More
Invitrogen™ TRAF6 Polyclonal Antibody

Rabbit Polyclonal Antibody
Supplier: Invitrogen™ PA529622
Description
Recommended positive controls: A431, A549, HeLa, HepG2, NIH-3T3, BCL-1, PC-12, Rat2. Predicted reactivity: Mouse (80%), Pig (83%), Rhesus Monkey (97%), Bovine (82%). Store product as a concentrated solution. Centrifuge briefly prior to opening the vial.
Tumor necrosis factor (TNF) receptor associated factors (TRAFs) were initially discovered as adaptor proteins that link the TNF receptor superfamily to signaling pathways and are thus important regulators of cell death and cellular response to stress. TRAF proteins share a homology region that allows them to bind to cell receptors and other TRAF proteins, causing the activation of different signal cascades depending on the TRAFs involved. For example, TRAF2 and TRAF3 directly bind to the CD40, a NF receptor superfamily member involved in inducing B cell immunity, and are critical for NF-kappa-B activation in mouse B lymphocytes. TRAF2 along with TRAF6 has also been shown to be required for CD40 signaling in nonhemopoietic cells. TRAF2 also interacts with the TRFR superfamily member lymphotoxin-beta receptor (LTbetaR) in association with TRAF3 and the apoptosis inhibitors cIAP1 and Smac.
Specifications
| TRAF6 | |
| Polyclonal | |
| Unconjugated | |
| TRAF6 | |
| 2310003F17Rik; AI851288; C630032O20Rik; E3 ubiquitin-protein ligase TRAF6; interleukin-1 signal transducer; MGC:3310; RING finger protein 85; RING-type E3 ubiquitin transferase TRAF6; RNF85; TNF receptor associated factor 6; TNF receptor-associated factor 6; TNF receptor-associated factor 6, E3 ubiquitin protein ligase; Traf6 | |
| Rabbit | |
| Antigen affinity chromatography | |
| RUO | |
| 22034, 311245, 7189 | |
| Store at 4°C short term. For long term storage, store at -20°C, avoiding freeze/thaw cycles. | |
| Liquid |
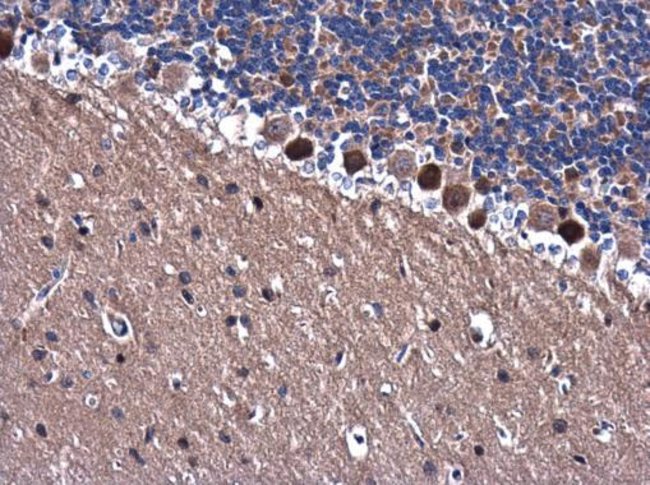
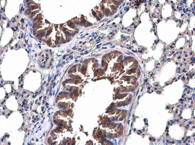
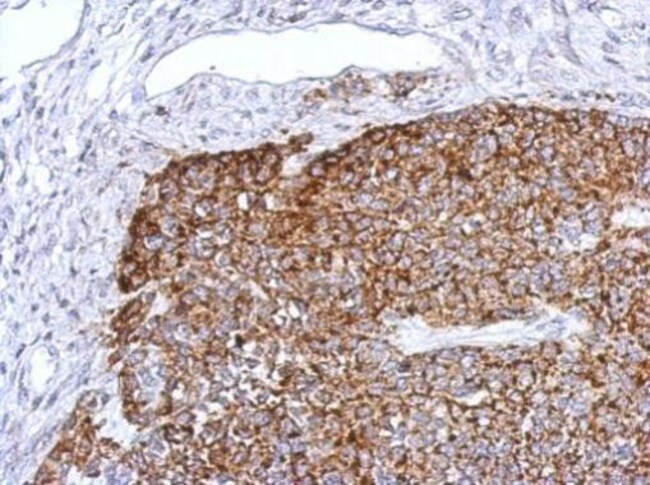
| Immunohistochemistry (Paraffin), Immunoprecipitation, Western Blot, Immunocytochemistry | |
| 3.39 mg/mL | |
| PBS with 20% glycerol and 0.025% ProClin 300; pH 7 | |
| B5DF45, P70196, Q9Y4K3 | |
| TRAF6 | |
| Recombinant protein encompassing a sequence within the center region of human TRAF6. The exact sequence is proprietary. | |
| 100 μL | |
| Primary | |
| Human, Mouse, Rat | |
| Antibody | |
| IgG |
Safety and Handling
WARNING: Cancer - www.P65Warnings.ca.gov
Product Content Correction
Your input is important to us. Please complete this form to provide feedback related to the content on this product.
Product Title
Spot an opportunity for improvement?Share a Content Correction