Promotional price valid on web orders only. Your contract pricing may differ. Interested in signing up for a dedicated account number?
Learn More
Learn More
Invitrogen™ TRAIL-R2 (DR5) Polyclonal Antibody

Rabbit Polyclonal Antibody
Supplier: Invitrogen™ PA5119077
This item is not returnable.
View return policy
Description
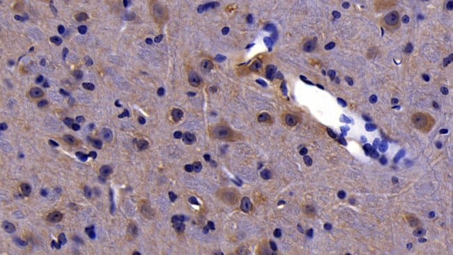
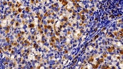
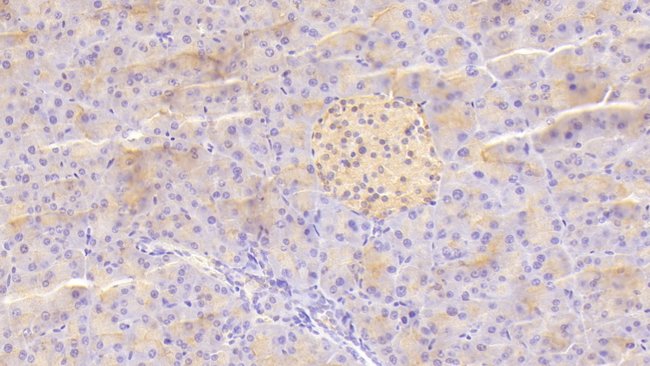
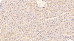
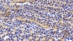
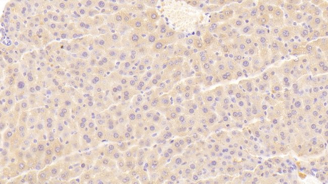
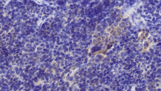
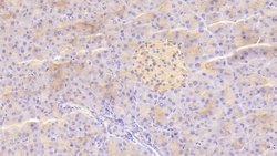
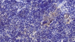
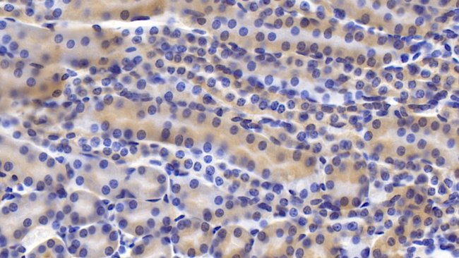
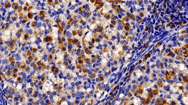
TRAIL-R2 (DR5) Polyclonal Antibody for Western Blot, IHC (P)
DR5 (Apo2, TRAIL-R2, TRICK2, KILLER) is a recently identified death domain containing receptor for TRAIL, which mediates TRAIL induced apoptosis. DR5 is a member of the TNF-receptor superfamily, and contains an intracellular death domain. DR5 can be activated by tumor necrosis factor-related apoptosis inducing ligand (TNFSF10/TRAIL/APO-2L), and transduces an apoptosis signal. Studies with FADD-deficient mice suggested that FADD, a death domain containing adaptor protein, is required for the apoptosis mediated by DR5. Two transcript variants encoding different isoforms of DR5 and one non-coding transcript have been found. Overexpression of DR5 induces apoptosis and activates NF-kappa-B. DR5 is expressed in a number of cell types, and to particularly high levels in lymphocytes and spleen. Diseases associated with DR5 dysfunction include squamous cell carcinoma, and diffuse infiltrative lymphocytosis syndrome.
Specifications
TRAIL-R2 (DR5) | |
Polyclonal | |
Unconjugated | |
TNFRSF10B | |
apoptosis inducing protein TRICK2A/2B; apoptosis inducing receptor TRAIL-R2; CD262; cytotoxic TRAIL receptor-2; death domain containing receptor for TRAIL/Apo-2L; death receptor 5; Dr5; dr-5; Fas-like protein; KILLER; KILLER/DR5; KILLER/DR5 TRAIL death-inducing receptor; Ly98; MK; p53-regulated DNA damage-inducible cell death receptor(killer); sCD262; soluble CD262; TNF receptor superfamily member 10b; TNF-related apoptosis-inducing ligand receptor 2; TNFRSF10B; TRAIL receptor 2; TRAILR2; TRAIL-R2; TRICK2; TRICK2A; TRICK2B; TRICKB; tumor necrosis factor receptor superfamily member 10B; tumor necrosis factor receptor superfamily, member 10b; tumor necrosis factor receptor-like protein ZTNFR9; UNQ160/PRO186; ZTNFR9 | |
Rabbit | |
Antigen affinity chromatography, Protein A | |
RUO | |
21933, 8795 | |
Store at 4°C short term. For long term storage, store at -20°C, avoiding freeze/thaw cycles. | |
Liquid |
Immunohistochemistry (Paraffin), Western Blot | |
0.5 mg/mL | |
PBS with 50% glycerol and 0.05% ProClin 300; pH 7.4 | |
O14763, Q9QZM4 | |
TNFRSF10B | |
Recombinant protein Death receptor 5. The antigen corresponds to amino acid range 233-367 of the target protein. | |
200 μL | |
Primary | |
Human, Mouse, Pig | |
Antibody | |
IgG |
Product Content Correction
Your input is important to us. Please complete this form to provide feedback related to the content on this product.
Product Title
Spot an opportunity for improvement?Share a Content Correction