Promotional price valid on web orders only. Your contract pricing may differ. Interested in signing up for a dedicated account number?
Learn More
Learn More
Invitrogen™ Transketolase Polyclonal Antibody
Rabbit Polyclonal Antibody
Supplier: Invitrogen™ PA5119475
This item is not returnable.
View return policy
Description
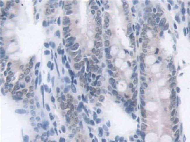
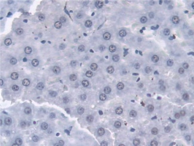
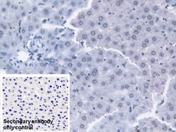
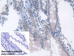
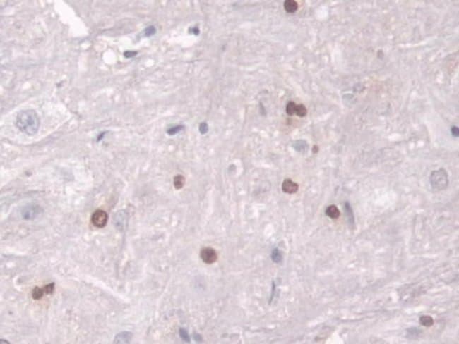
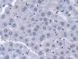
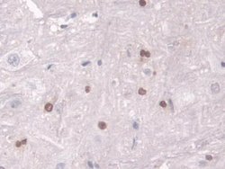
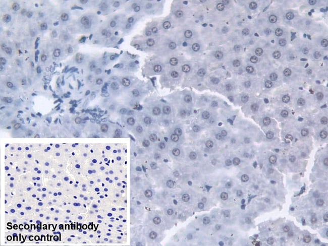
Transketolase Polyclonal Antibody for Western Blot, ICC/IF, IHC (P)
Transketolase encodes a thiamine-dependent enzyme which plays a role in the channeling of excess sugar phosphates to glycolysis in the pentose phosphate pathway. Multiple alternatively spliced variants, encoding the same protein, have been identified.
Specifications
Transketolase | |
Polyclonal | |
Unconjugated | |
TKT | |
epididymis luminal protein 107; epididymis secretory protein Li 48; HEL107; HEL-S-48; p68; TK; TKT; TKT1; Transketolase; transketolase (Wernicke-Korsakoff syndrome) | |
Rabbit | |
Antigen affinity chromatography, Protein A | |
RUO | |
64524, 7086 | |
Store at 4°C short term. For long term storage, store at -20°C, avoiding freeze/thaw cycles. | |
Liquid |
Immunohistochemistry (Paraffin), Western Blot, Immunocytochemistry | |
0.5 mg/mL | |
PBS with 50% glycerol and 0.05% ProClin 300; pH 7.4 | |
P29401, P50137 | |
TKT | |
Recombinant protein Transketolase. The antigen corresponds to amino acid range 1-286 of the target protein. | |
200 μL | |
Primary | |
Human, Rat | |
Antibody | |
IgG |
Product Content Correction
Your input is important to us. Please complete this form to provide feedback related to the content on this product.
Product Title
Spot an opportunity for improvement?Share a Content Correction