Learn More
TRAP1 Mouse anti-Canine, Human, Rat, Clone: OTI1H8, lyophilized, TrueMAB™

Mouse Monoclonal Antibody
Supplier: OriGene CF504202

Description
Reconstitute with PBS (pH 7.3) and recommend to perform another round of desalting process using Product No. 7KMWCO
HSP90 proteins are highly conserved molecular chaperones that have key roles in signal transduction, protein folding, protein degradation, and morphologic evolution. HSP90 proteins normally associate with other cochaperones and play important roles in folding newly synthesized proteins or stabilizing and refolding denatured proteins after stress. TRAP1 is a mitochondrial HSP90 protein. Other HSP90 proteins are found in cytosol.Specifications
TRAP1 | |
Monoclonal | |
Unconjugated | |
TRAP1 | |
HSP 75, HSP75, HSP90L, TRAP-1 | |
Mouse | |
Affinity Chromatography | |
RUO | |
10131, 102153194, 287069 | |
-20° C, Avoid Freeze/Thaw Cycles | |
Lyophilized |
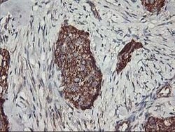
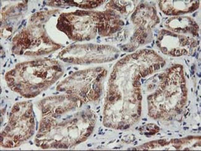
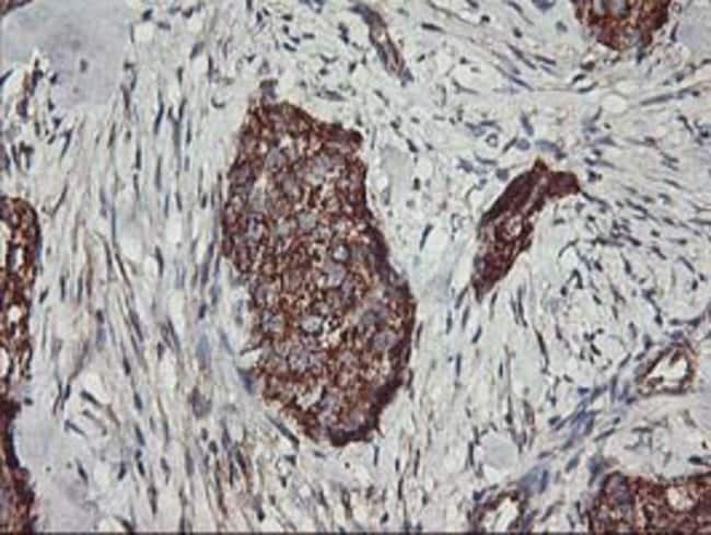
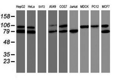
Flow Cytometry, Immunocytochemistry, Immunofluorescence, Immunohistochemistry (Paraffin), Western Blot | |
OTI1H8 | |
PBS with 8% trehalose and no preservative; pH 7.3 | |
Q12931, Q5XHZ0 | |
TRAP1 | |
Full length human recombit protein of human TRAP1 produced in HEK293T cell. | |
100 μg | |
Primary | |
Canine, Human, Rat | |
Antibody | |
IgG2b |
The Fisher Scientific Encompass Program offers items which are not part of our distribution portfolio. These products typically do not have pictures or detailed descriptions. However, we are committed to improving your shopping experience. Please use the form below to provide feedback related to the content on this product.