Learn More
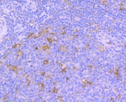
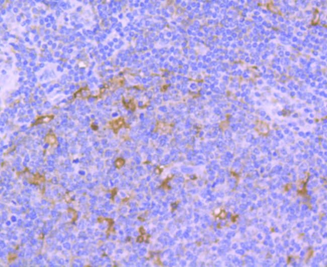
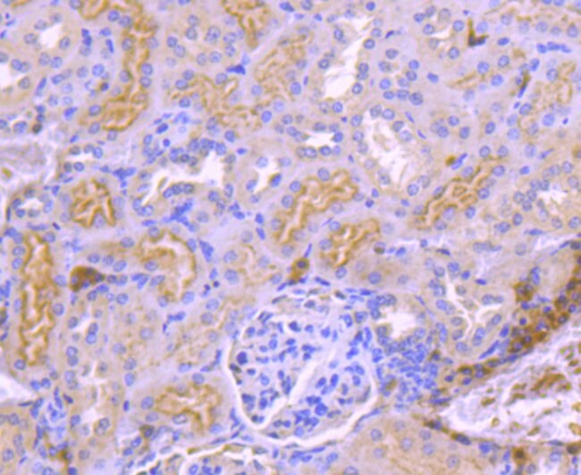
Invitrogen™ TrkA Recombinant Rabbit Monoclonal Antibody (SU0354)

Description
Recombinant rabbit monoclonal antibodies are produced using in vitro expression systems. The expression systems are developed by cloning in the specific antibody DNA sequences from immunoreactive rabbits. Then, individual clones are screened to select the best candidates for production. The advantages of using recombinant rabbit monoclonal antibodies include: better specificity and sensitivity, lot-to-lot consistency, animal origin-free formulations, and broader immunoreactivity to diverse targets due to larger rabbit immune repertoire.
Specifications
Specifications
| Antigen | TrkA |
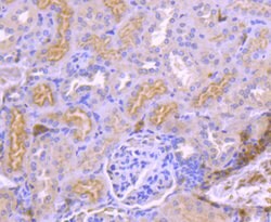
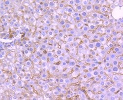
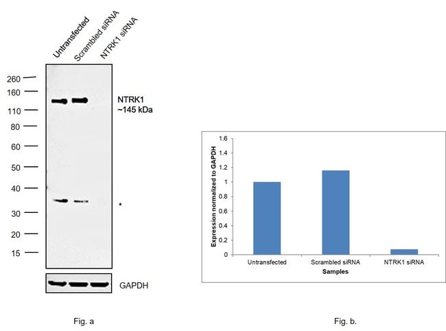
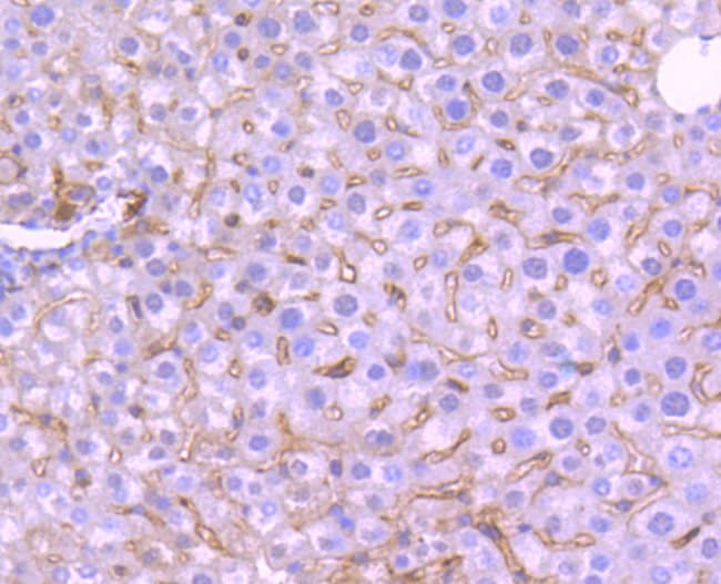
| Applications | Flow Cytometry, Immunohistochemistry (Paraffin), Western Blot, Immunocytochemistry, Western Blot |
| Classification | Recombinant Monoclonal |
| Clone | SU0354 |
| Concentration | 1 mg/mL |
| Conjugate | Unconjugated |
| Formulation | TBS with 0.05% BSA, 40% Glycerol and 0.05% sodium azide; pH 7.4 |
| Gene | Ntrk1 |
| Gene Accession No. | P04629, P35739, Q3UFB7 |
| Gene Alias | C80751; DKFZp781I14186; EC 2.7.10.1; gp140trk; high affinity nerve growth factor receptor; kinase TrkA; MTC; neurotrophic receptor tyrosine kinase 1; Neurotrophic tyrosine kinase receptor type 1; neurotrophic tyrosine kinase, receptor, type 1; Ntrk1; Oncogene TRK; p140-TrkA; Slow nerve growth factor receptor; Tkr; TRK; TRK1; TRK1-transforming tyrosine kinase protein; Trka; Trk-A; TrkA neurotrophin receptor; trkA proto-oncogene receptor; tropomyosin-related kinase A; Tyrosine kinase receptor; Tyrosine kinase receptor A |
| Show More |
Safety and Handling
By clicking Submit, you acknowledge that you may be contacted by Fisher Scientific in regards to the feedback you have provided in this form. We will not share your information for any other purposes. All contact information provided shall also be maintained in accordance with our Privacy Policy.