Promotional price valid on web orders only. Your contract pricing may differ. Interested in signing up for a dedicated account number?
Learn More
Learn More
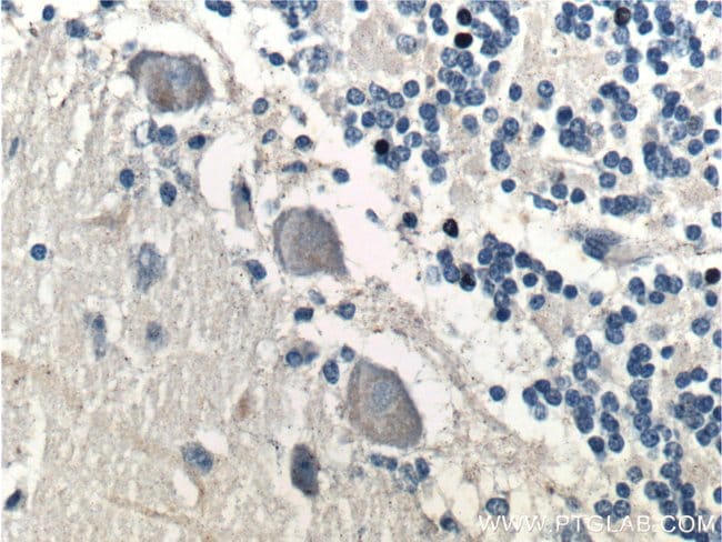
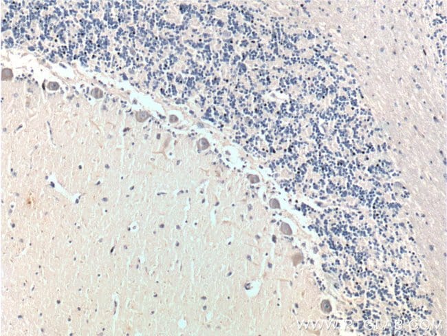
TrkB Rabbit anti-Human, Mouse, Porcine, Rat, Polyclonal, Proteintech

Rabbit Polyclonal Antibody
Supplier: Proteintech Group Inc 131291AP150UL
Description
TrkB is a receptor tyrosine kinase of the Trk family. Receptor for brain-derived neurotrophic factor (BDNF), neurotrophin-3, -4 and -5 but not nerve growth factor (NGF). TrkB is involved in the development and maintece of the nervous system. Moreover, Trk B is a tyrosine kinase gene highly related to Trk A. Trk B expression is confined to tissues within the central and peripheral nervous systems. The brain-derived neurotrophic factor (BDNF) and NT-3, but not NGF, can induce rapid phosphorylation on tyrosine of Trk B gp145, one of the receptors encoded by Trk B, although BDNF elicits a response at least two orders of magnitude greater than NT-3. TrkB is a membrane-bound receptor that, upon neurotrophin binding, phosphorylates itself and members of the MAPK pathway. Signaling through TrkB leads to cell differentiation. Mutations in the TrkB gene have been associated with obesity and mood disorders. Alternate transcriptional splice variants encoding different isoforms have been found for the TrkB gene.Specifications
| TrkB | |
| Polyclonal | |
| Unconjugated | |
| NTRK2 | |
| GP145 TrkB, NTRK2, TrkB, TrkB tyrosine kinase | |
| Rabbit | |
| Antigen Affinity Chromatography | |
| RUO | |
| 100519209, 18212, 25054, 4915 | |
| -20°C | |
| Liquid |
| Immunocytochemistry, Immunofluorescence, Immunohistochemistry (Paraffin), Immunoprecipitation, Western Blot | |
| 0.27 mg/mL | |
| PBS with 50% glycerol and 0.1% sodium azide; pH 7.3 | |
| P15209, Q16620, Q63604 | |
| Ntrk2 | |
| TrkB Fusion Protein Ag3790 | |
| 150 μL | |
| Primary | |
| Human, Mouse, Pig, Rat | |
| Antibody | |
| IgG |
Product Content Correction
The Fisher Scientific Encompass Program offers items which are not part of our distribution portfolio. These products typically do not have pictures or detailed descriptions. However, we are committed to improving your shopping experience. Please use the form below to provide feedback related to the content on this product.
Product Title
Spot an opportunity for improvement?Share a Content Correction