Learn More
Invitrogen™ TST Polyclonal Antibody

Description
Immunogen sequence: MVHQVLYRAL VSTKWLAESI RTGKLGPGLR VLDASWYSPG TREARKEYLE RHVPGASFFD IEECRDTASP YEMMLPSEAG FAEYVGRLGI SNHTHVVVYD GEHLGSFYAP RVWWMFRVFG HRTVSVLNGG FRNWLKEGHP VTSEPSRPEP AVFKATLDRS LLKTYEQVLE NLESKRFQLV DSRSQGRFLG TEPEPDAVGL DSGHIRGAVN MPFMDFLTED GFEKGPEELR ALFQTKKVDL SQPLIATCRK GVTACHVALA AYLCGKPDVA VYDGSWSEWF RRAPPESRVS QGKSEKA.
Specifications
Specifications
| Antigen | TST |
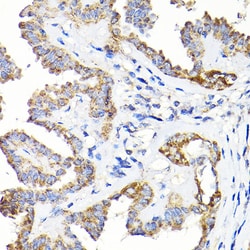
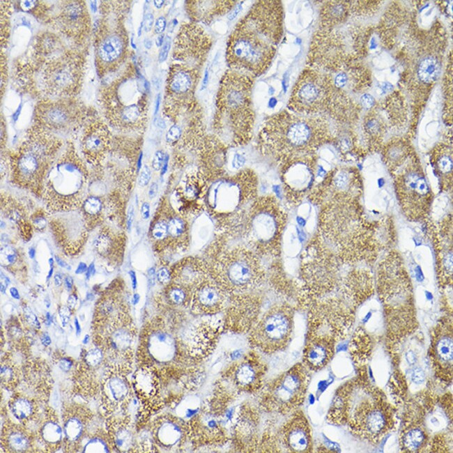
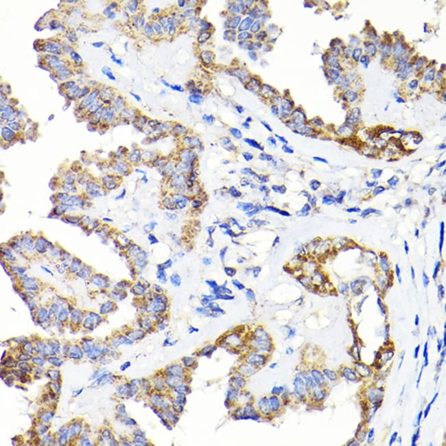
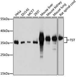
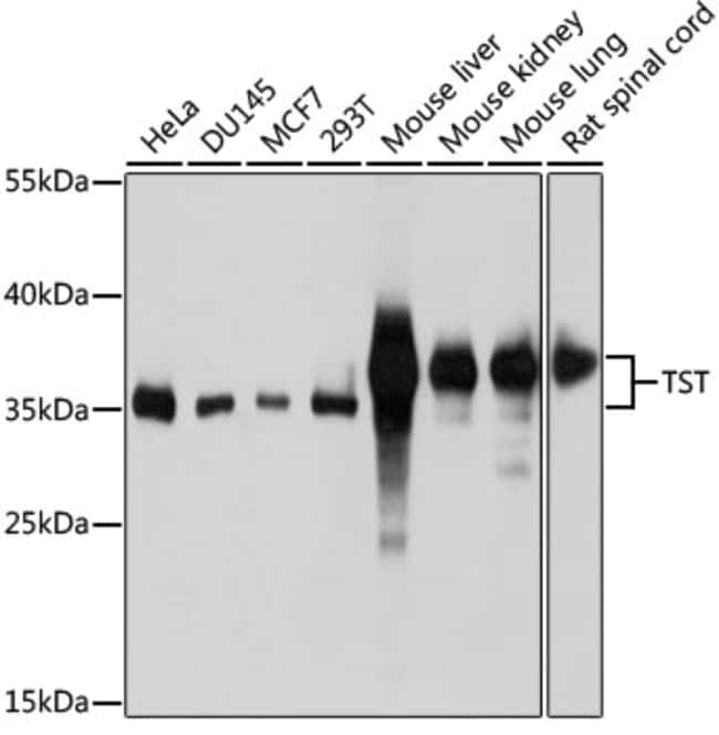
| Applications | ELISA, Immunohistochemistry (Paraffin), Immunoprecipitation, Western Blot |
| Classification | Polyclonal |
| Concentration | 2.98 mg/mL |
| Conjugate | Unconjugated |
| Formulation | PBS with 50% glycerol and 0.02% sodium azide; pH 7.3 |
| Gene | TST |
| Gene Accession No. | P24329, P52196, Q16762 |
| Gene Alias | LL22NC01-146D10.3; MGC19578; RDS; RHODAN; Rhodanese; thiosulfate sulfurtransferase; thiosulfate sulfurtransferase (rhodanese); thiosulfate sulfurtransferase, mitochondrial; Thiosulfate sulphurtransferase (rhodanese); TST |
| Gene Symbols | TST |
| Show More |
By clicking Submit, you acknowledge that you may be contacted by Fisher Scientific in regards to the feedback you have provided in this form. We will not share your information for any other purposes. All contact information provided shall also be maintained in accordance with our Privacy Policy.