Learn More
Invitrogen™ TXNDC12 Polyclonal Antibody

Rabbit Polyclonal Antibody
Supplier: Invitrogen™ PA5120272
Description
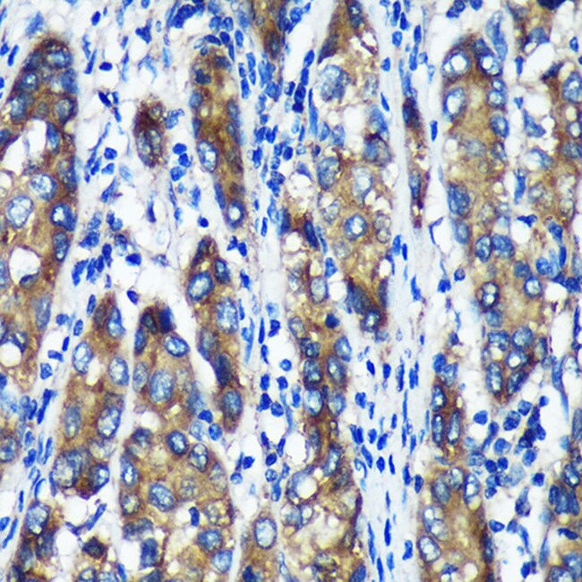
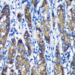
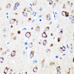
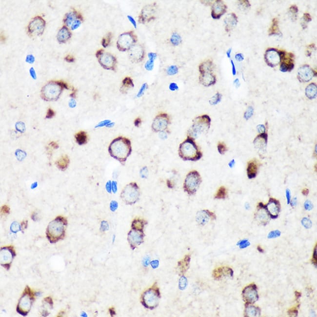
Positive test controls include: U-251MG, 293T, HepG2, Mouse brain, Mouse heart, Mouse kidney. The target is usually found in the following locations: Endoplasmic reticulum lumen. Immunogen sequence: NLEDEEEPKD EDFSPDGGYI PRILFLDPSG KVHPEIINEN GNPSYKYFYV SAEQVVQGMK EAQERLTGDA FRKKHLEDEL.
TXNDC12 belongs to the thioredoxin superfamily. Members of this superfamily possess a thioredoxin fold with a consensus active-site sequence (CxxC) and have roles in redox regulation, defense against oxidative stress, refolding of disulfide-containing proteins, and regulation of transcription factors.
Specifications
| TXNDC12 | |
| Polyclonal | |
| Unconjugated | |
| Txndc12 | |
| 0610040B21Rik; AG1; AGR1; anterior gradient homolog 1; endoplasmic reticulum protein ERp19; endoplasmic reticulum resident protein 18; Endoplasmic reticulum resident protein 19; endoplasmic reticulum thioredoxin superfamily member, 18 kDa; ER protein 18; ER protein 19; ERp16; ERP18; ERP19; hAG-1; hTLP19; ortholog of endoplasmic reticulum thioredoxin superfamily member, 18 kDa TLP19; PDIA16; protein disulfide isomerase family A, member 16; RGD1305960; thioredoxin domain containing 12; thioredoxin domain containing 12 (endoplasmic reticulum); thioredoxin domain-containing protein 12; Thioredoxin-like protein p19; TLP19; TXNDC12; UNQ713/PRO1376 | |
| Rabbit | |
| Affinity Chromatography | |
| RUO | |
| 298370, 51060, 66073 | |
| -20°C, Avoid Freeze/Thaw Cycles | |
| Liquid |
| ELISA, Immunohistochemistry (Paraffin), Western Blot, Immunocytochemistry | |
| 2.21 mg/mL | |
| PBS with 50% glycerol and 0.01% thimerosal; pH 7.3 | |
| O95881, Q498E0, Q9CQU0 | |
| Txndc12 | |
| Recombinant fusion protein containing a sequence corresponding to amino acids 93-172 of human TXNDC12 (NP_056997.1). | |
| 100 μL | |
| Primary | |
| Human, Mouse, Rat | |
| Antibody | |
| IgG |
Your input is important to us. Please complete this form to provide feedback related to the content on this product.