Learn More
Invitrogen™ UQCRC2 Recombinant Rabbit Monoclonal Antibody (3E3O8)

Description
Immunogen sequence: KANYRGGEIR EQNGDSLVHA AFVAESAVAG SAEANAFSVL QHVLGAGPHV KRGSNTTSHL HQAVAKATQQ PFDVSAFNAS YSDSGLFGIY TISQATAAGD V.
Specifications
Specifications
| Antigen | UQCRC2 |
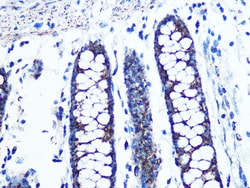
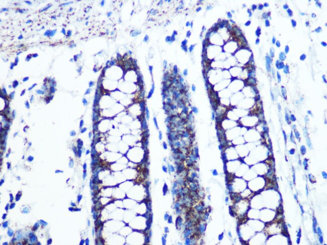
| Applications | ELISA, Immunohistochemistry (Paraffin), Western Blot |
| Classification | Recombinant Monoclonal |
| Clone | 3E3O8 |
| Concentration | 1 mg/mL |
| Conjugate | Unconjugated |
| Formulation | PBS with 0.05% BSA, 50% glycerol and 0.02% sodium azide; pH 7.3 |
| Gene | UQCRC2 |
| Gene Accession No. | P22695, P32551, Q9DB77 |
| Gene Alias | 1500004O06Rik; complex III subunit 2; Core protein II; cytochrome bc-1 complex core protein II; cytochrome b-c1 complex subunit 2, mitochondrial; MC3DN5; QCR2; U MC3DN5; ubiquinol cytochrome c reductase core protein 2; ubiquinol-cytochrome C reductase complex core protein 2, mitochondrial precursor (Complex III subunit II); ubiquinol-cytochrome c reductase core protein II; ubiquinol-cytochrome-c reductase complex core protein 2; UQCR2; Uqcrc2 |
| Show More |
By clicking Submit, you acknowledge that you may be contacted by Fisher Scientific in regards to the feedback you have provided in this form. We will not share your information for any other purposes. All contact information provided shall also be maintained in accordance with our Privacy Policy.