Promotional price valid on web orders only. Your contract pricing may differ. Interested in signing up for a dedicated account number?
Learn More
Learn More
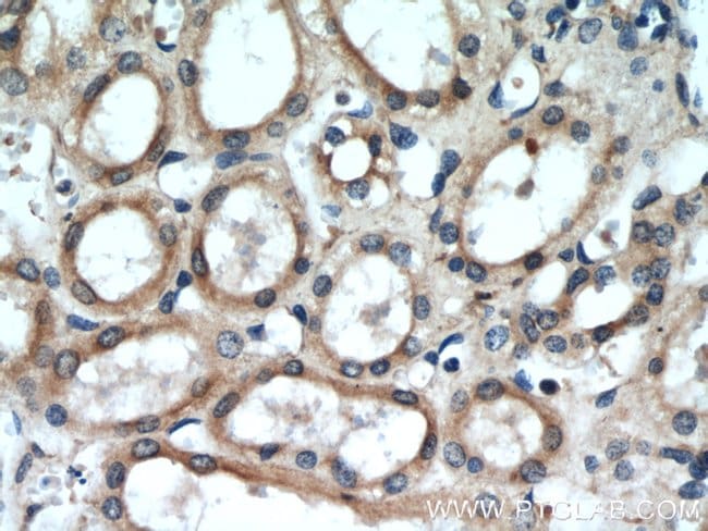
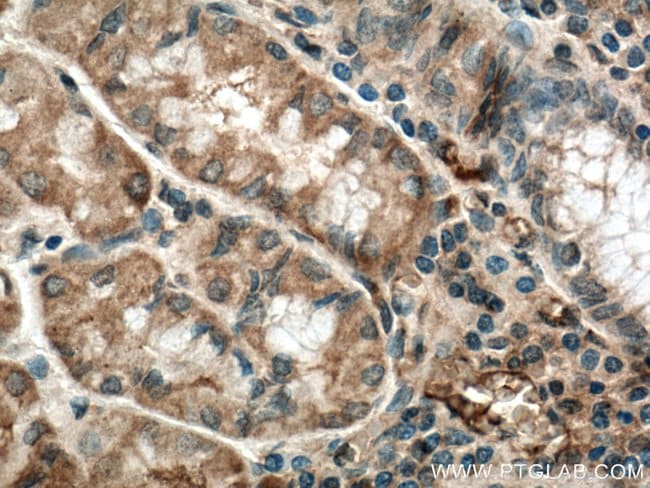
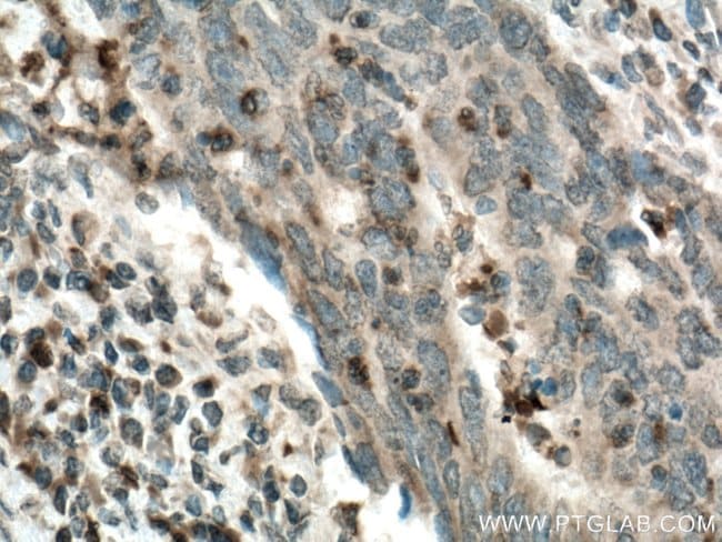
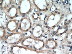
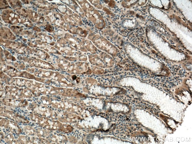
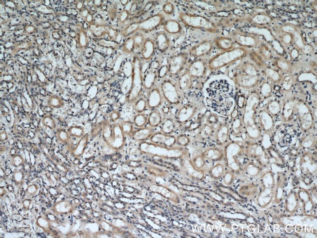
Uroguanylin Rabbit anti-Human, Mouse, Rat, Polyclonal, Proteintech

Rabbit Polyclonal Antibody
Supplier: Proteintech Group Inc 181131AP150UL

Description
Endogenous activator of intestinal guanylate cyclase. It stimulates this enzyme through the same receptor binding region as the heat-stable enterotoxins. May be a potent physiological regulator of intestinal fluid and electrolyte transport. May be an autocrine/paracrine regulator of intestinal salt and water transport.Specifications
Uroguanylin | |
Polyclonal | |
Unconjugated | |
GUCA2B | |
GCAP II, GCAP II Uroguanylin, Guanylate cyclase activator 2B, GUCA2B, UGN | |
Rabbit | |
Antigen Affinity Chromatography | |
RUO | |
14916, 2981, 64055 | |
-20°C | |
Liquid |
Immunocytochemistry, Immunofluorescence, Immunohistochemistry (Paraffin), Western Blot | |
0.17 mg/mL | |
PBS with 50% glycerol and 0.1% sodium azide; pH 7.3 | |
O09051, P70668, Q16661 | |
Guca2b | |
Uroguanylin Fusion Protein Ag12589 | |
150 μL | |
Primary | |
Human, Mouse, Rat | |
Antibody | |
IgG |
Product Content Correction
The Fisher Scientific Encompass Program offers items which are not part of our distribution portfolio. These products typically do not have pictures or detailed descriptions. However, we are committed to improving your shopping experience. Please use the form below to provide feedback related to the content on this product.
Product Title
Spot an opportunity for improvement?Share a Content Correction