Promotional price valid on web orders only. Your contract pricing may differ. Interested in signing up for a dedicated account number?
Learn More

USP34 Rabbit anti-Human, Mouse, Polyclonal, Bethyl Laboratories

Rabbit Polyclonal Antibody

Supplier:  Bethyl Laboratories, Inc A300824A

Encompass_Preferred

Catalog No. 50-155-8542


May include imposed supplier surcharges.
Only null left
Add to Cart

Description

Description

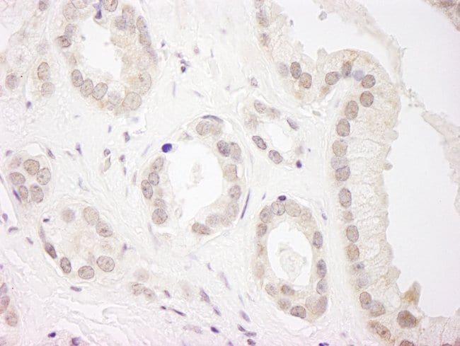
The recommended shelf life for this product is 1 year from date of receipt. Application Note: For IHC, epitope retrieval with Tris-EDTA pH 9.0 is recommended for FFPE tissue sections.

Ubiquitin hydrolase that can remove conjugated ubiquitin from AXIN1 and AXIN2, thereby acting as a regulator of Wnt signaling pathway. Acts as an activator of the Wnt signaling pathway downstream of the beta-catenin destruction complex by deubiquitinating and stabilizing AXIN1 and AXIN2, leading to promote nuclear accumulation of AXIN1 and AXIN2 and positively regulate beta-catenin (CTNBB1)-mediated transcription. Recognizes and hydrolyzes the peptide bond at the C-terminal Gly of ubiquitin. Involved in the processing of poly-ubiquitin precursors as well as that of ubiquitinated proteins.
Specifications

Specifications

USP34
Polyclonal
Unconjugated
USP34
deubiquitinating enzyme 34, KIAA0570, KIAA0729, ubiquitin specific protease 34, ubiquitin thioesterase 34, ubiquitin thiolesterase 34, ubiquitin-specific-processing protease 34
Rabbit
Antigen affinity chromatography
RUO
17847, 9736
4° C
Liquid
Immunohistochemistry, Immunoprecipitation, Western Blot
0.2 mg/ml
TBS with 0.1% BSA and 0.09% sodium azide
Q6ZQ93, Q70CQ2
USP34
Between 3350 and C-term
100 μL
Primary
Human, Mouse
Antibody
IgG
Product Suggestions

Product Suggestions

Videos
SDS
Documents

Documents

Product Certifications
Promotions

Promotions

Product Content Correction

The Fisher Scientific Encompass Program offers items which are not part of our distribution portfolio. These products typically do not have pictures or detailed descriptions. However, we are committed to improving your shopping experience. Please use the form below to provide feedback related to the content on this product.

Product Title

By clicking Submit, you acknowledge that you may be contacted by Fisher Scientific in regards to the feedback you have provided in this form. We will not share your information for any other purposes. All contact information provided shall also be maintained in accordance with our Privacy Policy.

Your feedback has been submitted: Thank you for helping us improve our website.