Promotional price valid on web orders only. Your contract pricing may differ. Interested in signing up for a dedicated account number?
Learn More
Learn More
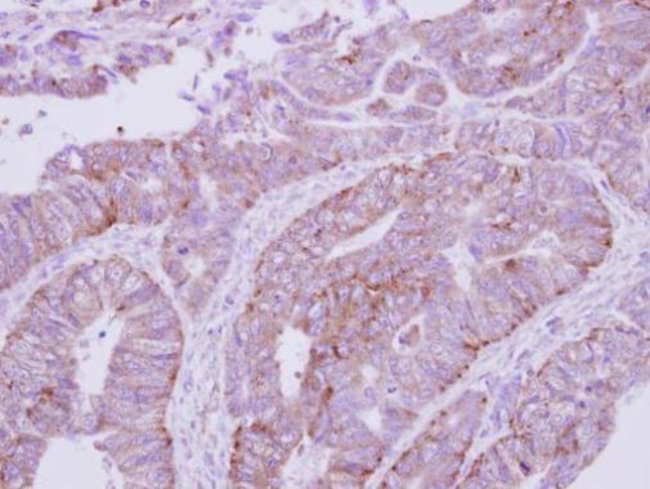
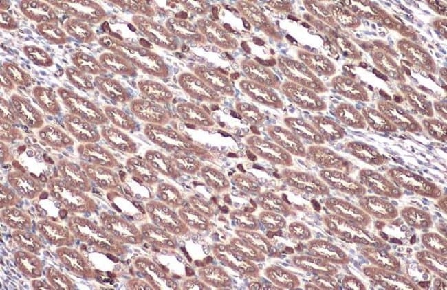
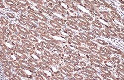
Invitrogen™ V-ATPase E1 Polyclonal Antibody

Rabbit Polyclonal Antibody
Supplier: Invitrogen™ PA529899
Description
Recommended positive controls: A549, H1299, HCT116, mouse brain, rat brain. Predicted reactivity: Mouse (99%), Rat (98%), Xenopus laevis (82%), Chicken (87%), Bovine (98%). Store product as a concentrated solution. Centrifuge briefly prior to opening the vial.
Subunit of the peripheral V1 complex of vacuolar ATPase essential for assembly or catalytic function. V-ATPase is responsible for acidifying a variety of intracellular compartments in eukaryotic cells.
Specifications
| V-ATPase E1 | |
| Polyclonal | |
| Unconjugated | |
| ATP6V1E1 | |
| 2410029D23Rik; Atp6e; Atp6e2; ATP6V1E; Atp6v1e1; ATPase H+ transporting V1 subunit E1; ATPase, H+ transporting lysosomal (vacuolar proton pump), 32 kDa; ATPase, H+ transporting, lysosomal 31kDa, V1 subunit E; ATPase, H+ transporting, lysosomal 31kDa, V1 subunit E1; ATPase, H+ transporting, lysosomal V1 subunit E1; ATPase, H+ transporting, V1 subunit E; D6Ertd385e; E2; H(+)-ATPase E-like protein; H(+)-transporting two-sector ATPase, 31kDa subunit; H+ ATPase subunit E; H+-transporting ATP synthase chain E, vacuolar; lysosomal 31kDa; P31; vacuolar H(+)-ATPase, E subunit; vacuolar H+ ATPase E1; vacuolar proton pump subunit E 1; V-ATPase 31 kDa subunit; V-ATPase subunit E; V-ATPase subunit E 1; VATPase, H+ transporting, lysosomal V1 subunit E1; V-ATPase, subunit E; Vma4; V-type proton ATPase subunit E 1 | |
| Rabbit | |
| Antigen affinity chromatography | |
| RUO | |
| 11973, 297566, 529 | |
| Store at 4°C short term. For long term storage, store at -20°C, avoiding freeze/thaw cycles. | |
| Liquid |
| Immunohistochemistry (Paraffin), Western Blot, Immunocytochemistry | |
| 1.41 mg/mL | |
| PBS with 20% glycerol and 0.025% ProClin 300; pH 7 | |
| P36543, P50518, Q6PCU2 | |
| ATP6V1E1 | |
| Recombinant protein encompassing a sequence within the center region of human ATP6V1E1. The exact sequence is proprietary. | |
| 100 μL | |
| Primary | |
| Human, Mouse, Rat | |
| Antibody | |
| IgG |
Safety and Handling
WARNING: Cancer - www.P65Warnings.ca.gov
Product Content Correction
Your input is important to us. Please complete this form to provide feedback related to the content on this product.
Product Title
Spot an opportunity for improvement?Share a Content Correction