Promotional price valid on web orders only. Your contract pricing may differ. Interested in signing up for a dedicated account number?
Learn More

Invitrogen™ VCAM-1 Polyclonal Antibody

Catalog No. PIPA529179
Change view
Click to view available options
Quantity:
100 μL
1 product options available for selection
Product selection table with 1 available options. Use arrow keys to navigate and Enter or Space to select.
Catalog No. Quantity
PIPA529179 100 μL
Use arrow keys to navigate between rows. Press Enter or Space to select a product option. 1 options available.
1 options
Catalog No. PIPA529179 Supplier Invitrogen™ Supplier No. PA529179

Rabbit Polyclonal Antibody

Recommended positive controls: K562, VCAM1 / CD106-transfected 293T. Predicted reactivity: Rabbit (84%). Store product as a concentrated solution. Centrifuge briefly prior to opening the vial.

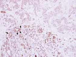
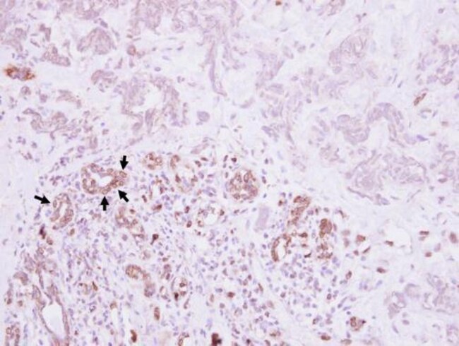
VCAM-1 is a cell surface sialoglycoprotein expressed by cytokine activated endothelium. The protein has a number of functions including the regulation of leukocyte migration, leukocyte-endothelial cell adhesion and signal transduction and may play a role in a number of inflammatory diseases.
TRUSTED_SUSTAINABILITY

Specifications

Antigen VCAM-1
Applications Immunohistochemistry (Paraffin), Western Blot
Classification Polyclonal
Concentration 1 mg/mL
Conjugate Unconjugated
Formulation PBS with 1% BSA, 20% glycerol and 0.01% thimerosal; pH 7
Gene VCAM1
Gene Accession No. P19320
Gene Alias adhesion molecule VCAM-1; CD106; CD106 antigen; DKFZp779G2333; INCAM100; INCAM-100; MGC99561; sCD106; soluble CD106; soluble VCAM 1; sVCAM 1; vascular cell adhesion molecule; vascular cell adhesion molecule 1; vascular cell adhesion molecule-1; vascular cell adhesion protein 1; V-CAM 1; Vcam1; Vcam-1; VCAM1B
Gene Symbols VCAM1
Host Species Rabbit
Immunogen Recombinant protein encompassing a sequence within the Extracellular domain of human VCAM1/CD106. The exact sequence is proprietary.
Purification Method Antigen affinity chromatography
Quantity 100 μL
Regulatory Status RUO
Primary or Secondary Primary
Gene ID (Entrez) 7412
Target Species Human
Content And Storage Store at 4°C short term. For long term storage, store at -20°C, avoiding freeze/thaw cycles.
Product Type Antibody
Form Liquid
Isotype IgG
Show More Show Less
WARNING: Cancer - www.P65Warnings.ca.gov
Product Title
Select an issue

By clicking Submit, you acknowledge that you may be contacted by Fisher Scientific in regards to the feedback you have provided in this form. We will not share your information for any other purposes. All contact information provided shall also be maintained in accordance with our Privacy Policy.