Promotional price valid on web orders only. Your contract pricing may differ. Interested in signing up for a dedicated account number?
Learn More
Learn More
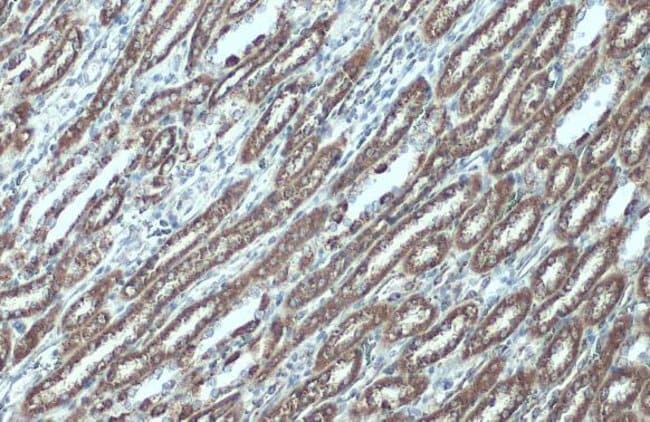
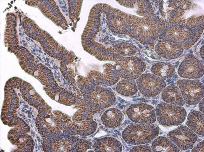
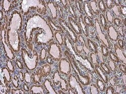
Invitrogen™ VDAC2 Polyclonal Antibody

Rabbit Polyclonal Antibody
Supplier: Invitrogen™ PA528106
Description
Recommended positive controls: A549, H1299, HCT116, Mouse liver. Store product as a concentrated solution. Centrifuge briefly prior to opening the vial.
This gene encodes a member of the voltage-dependent anion channel pore-forming family of proteins that are considered the main pathway for metabolite diffusion across the mitochondrial outer membrane. The encoded protein is also thought to be involved in the mitochondrial apoptotic pathway via regulation of BCL2-antagonist/killer 1 protein activity. Pseudogenes have been identified on chromosomes 1, 2, 12 and 21, and alternative splicing results in multiple transcript variants.
Specifications
VDAC2 | |
Polyclonal | |
Unconjugated | |
Vdac2 | |
B36-VDAC; FLJ23841; mVDAC2; mVDAC6; Outer mitochondrial membrane protein porin 2; POR; RP11-375G3.1; VDAC; Vdac2; VDAC-2; VDAC2 protein; Vdac6; VDAC-6; voltage dependent anion channel 2; voltage-dependent anion channel 2; voltage-dependent anion-selective channel protein 2; Voltage-dependent anion-selective channel protein 6 | |
Rabbit | |
Antigen affinity chromatography | |
RUO | |
22334, 7417, 83531 | |
Store at 4°C short term. For long term storage, store at -20°C, avoiding freeze/thaw cycles. | |
Liquid |
ELISA, Immunohistochemistry (Paraffin), Western Blot, Immunocytochemistry | |
0.65 mg/mL | |
PBS with 20% glycerol and 0.025% ProClin 300; pH 7 | |
P45880, P81155, Q60930 | |
Vdac2 | |
Carrier-protein conjugated synthetic peptide encompassing a sequence within the C-terminus region of human VDAC2. The exact sequence is proprietary. | |
100 μL | |
Primary | |
Human, Mouse, Rat | |
Antibody | |
IgG |
Product Content Correction
Your input is important to us. Please complete this form to provide feedback related to the content on this product.
Product Title
Spot an opportunity for improvement?Share a Content Correction