Promotional price valid on web orders only. Your contract pricing may differ. Interested in signing up for a dedicated account number?
Learn More
Learn More
Invitrogen™ VPS34 Polyclonal Antibody

Rabbit Polyclonal Antibody
Supplier: Invitrogen™ 382100
Description
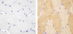
VPS34 Polyclonal Antibody for Western Blot, IHC (P), IP
PIK3C3 (hVPS34) is the sole class III member of the PI3 Kinase family. PIK3C3 phosphorylates phosphatidylinositol (PI) to produce phosphatidylinositol 3-phosphate [PI(3)P], which recruits downstream effectors containing FYVE and Phox domains to membranes. PIK3C3 is involved in coupling nutrient signaling to mTOR and also plays a role in autophagy and intracellular trafficking. Involved in regulation of degradative endocytic trafficking and required for the abcission step in cytokinesis, probably in the context of PI3KC3-C2. Involved in the transport of lysosomal enzyme precursors to lysosomes. Required for transport from early to late endosomes.
Specifications
| VPS34 | |
| Polyclonal | |
| Unconjugated | |
| Pik3c3 | |
| 5330434F23Rik; catalytic phosphatidylinositol 3-kinase 3; catalytic subunit type 3 Antibody; class 3 phosphoinositide-3-kinase; Class III PI 3-kinase; hVps34; hVps34 Antibody; OTTMUSP00000023341; OTTMUSP00000023350; phosphatidylinositol 3-kinase; Phosphatidylinositol 3-kinase catalytic subunit type 3; phosphatidylinositol 3-kinase p100 subunit; phosphatidylinositol 3-kinase, catalytic subunit type 3; Phosphoinositide-3-kinase class 3; phosphoinositide-3-kinase, class 3; PI3K type 3; PI-3K Vps34p; pi3kc3; PI3-kinase type 3; Pik3c3; PIK3C3 Antibody; PtdIns-3-kinase type 3; VPS34 | |
| Rabbit | |
| Antigen affinity chromatography | |
| RUO | |
| 225326, 5289 | |
| -20°C | |
| Liquid |
| Immunohistochemistry (Paraffin), Immunoprecipitation, Western Blot | |
| 0.25 mg/mL | |
| PBS with 0.1% sodium azide; pH 7.4 | |
| Q6PF93, Q8NEB9 | |
| Pik3c3 | |
| Synthetic peptide derived from the mid region of the human VPS34 protein. | |
| 100 μg | |
| Primary | |
| Human, Mouse | |
| Antibody | |
| IgG |
Safety and Handling
WARNING: Reproductive Harm - www.P65Warnings.ca.gov
Product Content Correction
The Fisher Scientific Encompass Program offers items which are not part of our distribution portfolio. These products typically do not have pictures or detailed descriptions. However, we are committed to improving your shopping experience. Please use the form below to provide feedback related to the content on this product.
Product Title
Spot an opportunity for improvement?Share a Content Correction