Promotional price valid on web orders only. Your contract pricing may differ. Interested in signing up for a dedicated account number?
Learn More

WDFY3 Rabbit anti-Human, Polyclonal, Bethyl Laboratories

Catalog No. 501561184
Encompass_Preferred
Change view
Click to view available options
Quantity:
100 μL
1 product options available for selection
Product selection table with 1 available options. Use arrow keys to navigate and Enter or Space to select.
Catalog No. Quantity
50-156-1184 100 μL
Use arrow keys to navigate between rows. Press Enter or Space to select a product option. 1 options available.
1 options
Catalog No. 50-156-1184 Supplier Bethyl Laboratories, Inc Supplier No. A301869A
Only null left
Add to Cart
Add to Cart

Rabbit Polyclonal Antibody

The recommended shelf life for this product is 1 year from date of receipt. Application Note: For IHC, epitope retrieval with citrate buffer pH 6.0 is recommended for FFPE tissue sections.

Required for selective autophagy (aggrephagy) but not for autophagic degradation of bulk cytospol in response to starvation. Involved in the formation and degradation of cytoplasmic polyubiquitin-containing bodies (p62 bodies, ALIS/aggresome-like induced structures). May play a role as adaptor or scaffolding protein by promoting the association of the E3-like ligase ATG12-ATG5-ATG16L and LC3 to ubiquitinated target substrate. The association with GABARAP is required for its recruitment to LC3B-positive p62 bodies suggesting a role in targeting certain p62 structures for clearance. Involved in midbody ring degradation.

Specifications

Antigen WDFY3
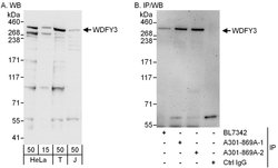
Applications Immunohistochemistry, Immunoprecipitation, Western Blot
Classification Polyclonal
Concentration 1 mg/ml
Conjugate Unconjugated
Formulation phosphate, tris citrate with 0.09% sodium azide; pH 7-8
Gene WDFY3
Gene Accession No. Q8IZQ1
Gene Alias ALFY, autophagy-linked FYVE protein, KIAA0993, ZFYVE25
Gene Symbols WDFY3
Host Species Rabbit
Immunogen Between 500 and 550
Purification Method Antigen affinity chromatography
Quantity 100 μL
Regulatory Status RUO
Primary or Secondary Primary
Gene ID (Entrez) 23001
Target Species Human
Content And Storage 4° C
Product Type Antibody
Form Liquid
Isotype IgG
Show More Show Less
Product Title
Select an issue

By clicking Submit, you acknowledge that you may be contacted by Fisher Scientific in regards to the feedback you have provided in this form. We will not share your information for any other purposes. All contact information provided shall also be maintained in accordance with our Privacy Policy.